д-р техн. наук, проф. Ургенчского государственного университета, Узбекистан, г. Ургенч
КОМПОЗИЦИЯ ЛИЦЕВОГО КЕРАМИЧЕСКОГО КИРПИЧА ПУТЕМ ВВЕДЕНИЯ ДОБАВОК
АННОТАЦИЯ
Предложен метод исследования физико-химических свойств сырья и неорганических стеновых материалов древних памятников Хивы. На основании результатов физико-химического анализа: химического, рентгенофазового, оптического и сканирующего электронного микроскопа методами предложена возможность использования отходов сахарного производства в качестве добавок в лицевых керамических кирпичей для восстановления исторического наследия. По результатам эксперимента изучены возможности производства реставрационных материалов на основе состава, соответствующего физико-механическим параметрам и внешним цветовым характеристикам строительных материалов, используемых в историческом наследии.
ABSTRACT
A method for studying the physical and chemical properties of raw materials and inorganic wall materials of ancient monuments of Khiva is proposed. Based on the results of physical and chemical analysis: chemical, X-ray phase, optical and scanning electron microscope methods, the possibility of using sugar production waste as additives in facing ceramic bricks for the restoration of historical heritage is proposed. Based on the results of the experiment, the possibilities of producing restoration materials based on a composition corresponding to the physical and mechanical parameters and external color characteristics of building materials used in the historical heritage are studied.
Ключевые слова: керамический кирпич, лессовидные суглинки, аморфный кремнизём, электронный микроскоп, ренгеноструктурный анализ.
Keywords: ceramic brick, loess-like loams, amorphous silica, electron microscope, X-ray structural analysis.
ВВЕДЕНИЕ
Стеновые материалы древней Хивы – это керамический кирпич полученное путем обжига лессовидных суглинков, которые проводилось в восстановительной среде в самодельных печах- “хумбузах”, где источником тепла являлся теплота выделенной от горение различных углеродсодержащих растительных средств. Такой материал на долгие годы сохранял свой внешные размеры и цвет. Но последные годы под действием природных факторов активизированы процессы разрушение исторических объектов мирового наследия, в том числе памятниках древней Хивы.
В последнее время все большее значение придается декоративным качествам лицевого керамического кирпича. Его широко используют для облицовки фасадов, при создании интерьеров общественных зданий и жилых домов, а также при проведении реставрационных работ.[7]
С момента обретения независимости в Республике Узбекистан в кратчайшие сроки были заложены основы государственности, проведены первоочередные реформы и преобразования. Благодаря этому удалось добиться качественных структурных изменений во всех сферах жизни, и, прежде всего, в экономике, образовании, строительстве и архитектуре. Древние города Республики Узбекистан вновь приобрели значение центров мировой культуры. Шаги «по возвращению культурного наследия», предпринятые на протяжении многих лет в республике, являются вкладом народа Узбекистана в остальной мир в цивилизацию всего человечества.[2]
В статье рассматриваются геоэкологические проблемы исторических городов Средней Азии, приводятся климатические, геотехнические, гидрогеологические характеристики изучаемых объектов, их конструктивное решение и анализ деформаций надземных и подземных строительных конструкций. Основные причины деформаций памятников архитектуры Средней Азии: неравномерное осаждение грунта основания в наиболее перегруженных участках конструкций здания; сейсмические воздействия; нарушение температурного режима влажности и влажности.[6]
Результаты показали, что нанокомпозит кремнезем / полимер является эффективным материалом для укрепления художественных и архитектурных памятников из песчаника, полностью совместим, повышает долговечность песчаника. Кроме того, полученный нанокомпозит улучшил механические свойства камня и устойчивость к воздействию эрозии, кислот и солей по сравнению с образцами, обработанными чистым SILRES® BS OH 100 без наночастиц кремнезема.[4]
Рассмотрены основные факторы, влияющие на устойчивость архитектурных памятников. Среди природных факторов принципиальная роль принадлежит наличию почв с сенсорными признаками в активной зоне застройки и значительному изменению этих свойств под воздействием техногенного давления. Конструктивные особенности зданий, виды строительных материалов и их возраст относятся к техногенным факторам.[5]
Производства керамического кирпича позволяет утилизировать промышленные отходы в значительных количествах и широком диапазоне их состава с использованием традиционной технологии и аппаратурного оснащения. Кроме того, создание сырьевых композиций с применением техногенных материалов является одним из путей расширения масштабов использования низкосортных глинистых пород, повышения технических свойств и снижения себе стоимости получаемого керамического кирпича.[1]
Представлен анализ основных причин высолов кирпичной кладки в регионе Аральского моря. Установлено, что в результате попеременного смачивания и высыхания строительного материала, при котором в порах материала происходит кристаллизация солей, происходит образование поливодных кристаллогидратов с объемным ростом объемов, превышающих объем пор в материале. при появлении давления, разрушающего строительный материал. Внешние признаки солевой коррозии - отслаивание и скалывание керамического кирпича. Указаны особенности образования высолов в керамических кирпичах в условиях протяженности Приаралья.[3]
МЕТОДЫ И РЕЗУЛЬТАТЫ
Для разработки новых составов керамического кирпича, отвечающего по всем показателям к старым кирпичам необходимо изучить физико-химические свойства. Элементный химический состав древних кирпичей представлены в табл.1 Как видно из таблицы состав древнего кирпича отличается от ныне производимых кирпичей.
Таблица 1.
Результаты химического анализа древного керамического кирпича
|
Образец |
% вес. |
|||||||||||
|
Na2O |
MgO |
Al2O3 |
SiO2 |
SO3 |
Cl |
K2O |
CaO |
TiO2 |
MnO |
Fe2O3 |
Всего |
|
|
ДКК |
2.57 |
3.69 |
12.39 |
56.92 |
0.27 |
0.11 |
2.11 |
15.18 |
0.57 |
0.16 |
6.03 |
99.89 |
Для установления минералогического состава образцов древних кирпичей, отобранных из стен древней Хивы, проводили рентгенофазовый анализ. Анализ выполнен на SmartLab 3, которые является универсальным многоцелевым рентгеновским дифрактометром последнего поколения. Результаты рентгенофазного анализа представлены на рис.1.
/Zhumaniyazov%20.files/image001.png)
Рисунок 1. Рентгенофазовые снимки древнего керамического кирпича
Рентгенофазовый анализ пробы древнего керамического кирпича представлен на рис.3, свидетельствует, что в его составе содрежится: диопсид 20%, кварц-36%, албит-15%, Ca2CO3 - 12%, анортит – 17%.
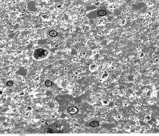
Для определения микроструктурных характеристик исследуемого объекта использовали сканирующий (растровый) электронный микроскоп TESCAN VEGA 3 SBH. Результаты исследования представлены на рис.2.
/Zhumaniyazov%20.files/image002.jpg)
Рисунок 2. Электронно микроскопический снимок древнего керамического кирпича: 1-Кварцит, 2-4-5-альбит, 3-гемотит, 6-диопсид
Как видно из рисунка результаты исследования электронно-микроскопического анализа сырья приведены на рис. 2, частицы в виде изометрических частицы в виде шестиугольника, со сломанными сторонами, отраженных на изображении, относятся к минералу кварцита, частицы в виде, светло-серые пятно к альбиту, частицы в виде овала-к минералу гемотита, частицы в виде темных пятен-к минералу диопсида
В исследовании сырьем для разработки состава керамического кирпича служили лессовидные породы Сузанлийского месторождения, отходы порошкообразного сахароного дефеката, поставляемого СП АО «Xorazm shakar», и отходы бытовой стеклотары.
При рентгенофлуоресцентном анализе химического состава лессовидной породы Сузанлийского месторождения содержание SiO2 в ней в среднем составило 52,55%. В зависимости от количества Al2O3 в сырье было определено, что образец относится к группе кислого глинистого сырья, группе красящего сырья по количеству TiO2 и Fe2O3. Содержание кремния, алюминия, кальция, магния, железа и других оксидов в образцах лессовидной породы определялось на основании государственного стандарта ГОСТ 8269.1-97, введенного в странах СНГ. Результаты, полученные на основе химического анализа, приведены в таблице 2.
Таблица 2
Результаты химического анализа лессовидных пород Сузанлийского месторождения
|
Сырьё |
Количество оксидов, мacc. %: |
|||||||||||
|
Na2O |
MgO |
Al2O3 |
SiO2 |
SO3 |
Cl |
K2O |
CaO |
TiO2 |
MnO |
Fe2O3 |
Всего |
|
|
Сузан- лийский место-рождение |
2.11 |
4.55 |
15.36 |
52.55 |
0.14 |
0,22 |
2.78 |
13.99 |
0.64 |
0.17 |
7.28 |
99.58 |
По результатам, в зависимости от количества Al2O3 в сырье образец относится к группе кислого глинистого сырья, к группе красящего сырья по количеству TiO2 и Fe2O3. При производстве керамических строительных материалов количество SiO2 в сырье ограничено определенными нормами. Содержание Al2O3 в сырье, использованном в экспериментальных работах, составляет в среднем 15,36%. Этого количества недостаточно, чтобы получить качественный керамический кирпич. Количество СaO также намного превышает установленные нормы, что может не позволить получить качественную керамического кирпича.
/Zhumaniyazov%20.files/image003.png)
Рисунок 3. Рентгенофазовый анализ лессовидных пород Сузанлийского месторождения
По результатам рентгенограмм основных фаз лессовидной породы Сузанлийского месторождения (рис. 3) сырье содержит кварц (SiO2) (d / n = 0.081; 0.079; 0.102 нм), кальцит (CaCO3) (d / n = 0.091; 0.090; 0.102; 0.103 нм , альбит (Na ( Al Si3 O8 )) (d / n = 0.083; 0.089; 0.091; 0.114; 0.132; 0.079; 0.086; 0.106; 0.108; 0.090 нм).
Результаты исследования по электронно-микроскопическому анализу сырья лессовидных пород Сузанлийского месторождения приведены на рисунок 4, отраженном на изометрическом изображении, гранулы в форме облачко относятся к минералу кальцита гексагональные, со сломанными сторонами, гранулы овальной формы к минералу кварца, гранулы в виде черных пятен к альбит.
/Zhumaniyazov%20.files/image004.jpg)
Рисунок 4. Электронно-микроскопический анализ лессовидных пород Сузанлийского месторождения
Сахарный дефекат, отход свеклосахарного производства. Диффузионный сок, содержащий извлечённый из свекловичной стружки сахар, после удаления фильтрованием волокон растительных тканей и осаждения белков нагреванием, подвергается дефекации с целью очистки. При этом, под действием известкового молока или окиси кальция, при кипячении, из раствора осаждается трисахарат кальция (С12Н22О11×3СаО×6Н2О) и ряд др. веществ. Далее, в процессе обработки осадка углекислым газом (сатурация), сахароза снова переходит в раствор, а пр. вещества остаются в осадке. Кроме того, свежеобразованный углекислый кальций адсорбирует некоторые сахара и красящие вещества, под влиянием углекислоты перешедшие в раствор. Раствор сахарозы под давлением отфильтровывается, а остаток на фильтрах – сахарный дефекат удаляется. Отходы порошкообразного сахароного дефеката, поставляемого СП АО «Xorazm shakar», результаты, полученные на основе химического анализа, приведены в таблице 2.
Таблица 2
Результаты химического анализа сахарного дефекта.
|
Сырьё |
Количество оксидов, мacc. %: |
|||||||||
|
Na2O |
MgO |
Al2O3 |
SiO2 |
SO3 |
Cl |
K2O |
CaO |
Fe2O3 |
Всего |
|
|
Сахарный дефекат |
4.02 |
2.21 |
2.35 |
8.25 |
2.27 |
0.00 |
0.29 |
77.46
|
1.07 |
97.94 |
Результаты исследования по электронно-микроскопическому анализу сырья сахарного дефеката приведены на рисунок 3, отраженном на изометрическом изображении, гранулы в форме облачко относятся к минералу кальцита гексагональные, со сломанными сторонами, гранулы овальной формы к минералу гипса, гранулы в виде черных пятен к каолинит
/Zhumaniyazov%20.files/image009.jpg)
Рисунок 5. Электронно-микроскопический анализ сахарного дефеката
ОБСУЖДЕНИЕ И ЗАКЛЮЧЕНИЕ
В части посвященной изучению керамических кирпич, выделенного от сырья сахарного дефеката, приводятся данные о способе выделения вяжущего – разжижение лессовидного суглинка с последующим гравитационным разделением, применением механоактивации выделенной пластической части в целях улучшение его вяжущих свойств. Оптимальное содержание измельченного порошка в составе массы керамического кирпича 20–30 мас. %. При увеличении более 30 мас. % вводимой добавки, уменьшается прочность при сжатии ниже нормируемого и повышается водопоглощение получаемых образцов, а при уменьшении его содержания менее 10 мас. % не наблюдается существенного снижения коэффициента теплопроводности. Изделия, изготовленные из лессовидных суглинков с добавкой в пределах изменения в составе керамической массы массовой доли порошка сахарного дефеката, имеют достаточную насыщенность цвета и чистоту цветового тона.
Таким образом, анализируя полученных данных нами разработаны составы керамического кирпича отвечающий по механическим и колористическим свойствам древнего керамического кирпича.
Авторы выражают свое благодарность Санкт-Петербургскому государственному технологическому институту кафедре Химической технологии тугоплавких неметаллических и силикатных материалов и Фонду «Эл-юрт умиди» за возможность проведения экспериментов на научной стажировке.
Список литературы:
- Babayev Z. K. [и др.]. Waste of ceramic brick as a raw material for the production of restoration materials of architectural monuments // восточно европейский научный журнал № 56. 2020. C. 63–66.
- Kamalova D. Z. Elements of light architecture in reconstruction and restoration of historical and architectural monuments of uzbekistan // International Journal of Scientific and Technology Research. 2020. № 3 (9).
- Lesovik V. S. [и др.]. Analysis of the Causes of Brickwork Efflorescence in the Aral Sea Region // Glass and Ceramics (English translation of Steklo i Keramika). 2020. № 7–8 (77). C. 277–279.
- Mohammad A. Al-Dosari [и др.]. Effects of Adding Nanosilica on Performance of Ethylsilicat (TEOS) as Consolidation and Protection Materials for Highly Porous Artistic Stone // Journal of Materials Science and Engineering A. 2016. № 4 (6).
- Voloshyn P. Analysis of influence of natural and technogenic factors on architectural monuments sustainability within historical centre of Lviv // Visnyk of the Lviv University. Series Geography. 2014. № 47.
- Zhussupbekov A. Z. [и др.]. Geotechnical features of historical architectural monuments of central asia // International Journal for Computational Civil and Structural Engineering. 2020. № 2 (16). C. 130–142.
- Пищ И. В. [и др.]. Отбеливание лицевого керамического кирпича путем введения добавок 2011.C. 130–131.