ассистент, кафедра онкологии и медицинской радиологи, Central Asian Medical University, Республика Узбекистан, г. Фергана
ВОЗМОЖНОСТИ И МЕСТО МУЛЬТИСПИРАЛЬНОЙ КОМПЬЮТЕРНОЙ ТОМОГРАФИИ В ДИАГНОСТИКЕ ТРАВМЫ ОРГАНОВ ГРУДНОЙ КЛЕТКИ
АННОТАЦИЯ
В современной медицине мультиспиральная компьютерная томография является выбором метода лучевой диагностики при травме органов грудной клетки. В этой статье приведена методика МСКТ-исследования поражения при травме органов грудной клетки в многоплоскостных проекциях, описаны патологические изменения, развивающиеся в различных структурах грудной клетки. Проведен анализ мультиспиральной компьютерной томографии 42 пострадавших с травмой органов грудной клетки находившихся на лечении в Кувинском межрайонном диагностическом центре сочетанных травм и острых сосудистых болезней в 2024 году. Был разработан оптимальный алгоритм проведения мультиспиральной компьютерной томографии пациентов с торакальной травмой.
ABSTRACT
In modern medicine, multispiral computed tomography is the choice of radiation diagnostic method for chest injury. This article presents the technique of MSCT examination of lesions in case of chest injury in multi-plane projections, describes the pathological changes developing in various structures of the chest. The analysis of multispiral computed tomography of 42 victims with chest injuries who were treated at the Kuva Interdistrict Diagnostic Center for Combined Injuries and Acute Vascular Diseases in 2024 was carried out. An optimal algorithm for multispiral computed tomography of patients with thoracic trauma has been developed.
Ключевые слова: мультиспиральная компьютерная томография, травма органов грудной клетки, гидроторакс, пневмоторакс, перелом ребер.
Keywords: multislice computed tomography, chest trauma, hydrothorax, pneumothorax, rib fracture.
Введение. Травма органов грудной клетки (ТОГК) отличается высокой летальностью при отсутствии медицинской помощи и достаточно высоким процентом благоприятных исходов при своевременной доставке пациента в специализированное медицинское учреждение. Смертность составляет 5-6%, при этом большинство смертельных случаев приходится на открытые повреждения (ранения), а также на множественные переломы ребер с разрывом легкого.
По частоте летальности травма органов грудной клетки (ТОГК) находится на втором месте после черепно-мозговой травмы (ЧМТ). Показатель смертности при травме органов грудной клетки (ТОГК) составляет 15,5—77% при наличии шока и сочетанной травмы головы. Данная статья подробно рассматривает разнообразные аспекты проведения и интерпретации результатов мультиспиральной компьютерной томографии при травме органов грудной клетки (ТОГК).
Особенностью течения тяжелой ТОГК является ощущение острой нехватки воздуха, заторможенность или помутнение сознания, а кожа может стать холодной, липкой от пота и синюшной. Такие симптомы могут развиваться при тяжелом нарушении функции легких или при шоке.
Целью нашего исследования – определить роль и диагностические возможности мультиспиральной компьютерной томографии (МСКТ) при травме органов грудной клетки (ТОГК).
Материалы и методы. В основе работы лежит анализ (МСКТ) 42 пострадавших с травмой органов грудной клетки (ТОГК), находившихся на лечении в Кувинском межрайонном диагностическом центре сочетанных травм и острых сосудистых болезней (КМДЦСТОСБ) в 2024 году.
Среди пострадавших преобладали мужчины — 61,2%, женщины составили 38,7%. Большинство пациентов были в возрасте от 21 до 40 лет 44,4%, и 41—60 лет 34,6%. Пациентов старше 60 лет было 14,6%, а младше 20 лет — 6,4%.
Результаты. В структуре политравмы 20,2 % составили повреждения грудной клетки. В процессе МСКТ у пациентов с ТОГК диагностировали: 1) наличие и вид повреждения костного каркаса грудной клетки; 2) наличие и степень гемо- и пневмоторакса; 3) характер и выраженность повреждений и нетравматических изменений легких; 4) наличие и характер повреждения органов средостения; 5) наличие торакоабдоминального повреждения; 6) наличие и локализацию инородных тел. В таб. №1 приведены процентное соотношение видов повреждений отдельных структур грудной клетки при ТОГК.
Таблица 1.
Процентное соотношение видов повреждений отдельных структур грудной клетки при ТОГК
|
Виды повреждений |
Количество больных (в процентах) с данным повреждением |
|
Сочетанные повреждения (переломы ребер, пневмоторакс, гемоторакс, ушибы легких) |
40% |
|
Ушиб лёгкого |
41,6% |
|
Обширный пневмоторакс |
33% |
|
Гидроторакс |
45,3% |
|
Пневмомедиастинум |
8% |
|
Перелом грудного отдела позвоночника |
25% |
|
Перелом грудины |
13,5% |
|
Перелом лопатки |
11,4 |
|
Ушиб сердца и перикарда |
14% |
|
Повреждение диафрагмы |
1,2% |
Для иллюстрации вышеописанного проведенного исследования приведем несколько клинические наблюдения.
/Alikariev.files/image001.jpg)
а б в
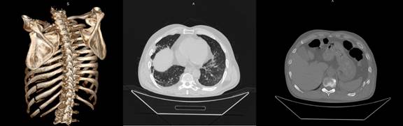
Рисунок 1. МСКТ.
Тяжелая ТОГК. Мультипланарная 3D-реконструкция: поперечный перелом 6, 7, 8, 9, 10 –х ребер слева по лопаточной линии, поперечный перелом тел 8, 9, 10 ребер слева по средней подмышечной линии (а), аксиальный и фронтальные срезы: ушиб обоих легких, двухсторонний пневмоторакс, двухсторонний гемоторакс, подкожная эмфизема переднезаднебоковой поверхности грудной клетки с двух сторон (а, б).
/Alikariev.files/image002.jpg)
а б в
Рисунок 2. МСКТ. ТОГК.
Мультипланарная 3D-реконструкция: Перелом тела 8 – го ребра слева по средней подмышечной линии без смещения к/о. Переломы 9, 10, 11 -го ребер слева по лопаточной линии со смещениями к/о. Перелом хряща 1 – ребра справа без смещения к/о. Перелом головки 10- го ребра слева без смещения к/о (а), аксиальные срезы в легочном и костном режимах: уплотнение задне-базальных сегментов обеих легких (ушиб легких). Множественные переломы ребер (б, в).
/Alikariev.files/image003.jpg)
а б в
Рисунок 3. МСКТ. ТОГК.
На топограмме (а) хорошо визуализируется тотальный пневматоракс слева. На аксиальном срезе (б) кроме пневмоторакса определяется и гемоторакс (горизонтальный уровень жидкости). На фронтальном срезе можно увидеть, что воздух имеется и в плевральной полости правого легкого.
По собственным данным, особое место среди лучевых исследований занимает МСКТ, которая обладает высокой чувствительностью и специфичностью в отношении повреждений легких, средостения и костного каркаса грудной клетки. Использование МСКТ соответствует принципам доказательной медицины, что имеет большое значение в случаях судебно-медицинской и медико-социальной экспертизы.
Выводы:
1. Высокая надежность, большие возможности и точность выявления патологии при травме органов грудной клетки и простота выполнения поставили МСКТ на один из ведущих мест среди различных методов исследования: магнитно-резонансная компьютерная томография, рентгенография.
2. Оценка данных МСКТ сложна для клинициста. В то же время, интерпретация изображений МСКТ во многом зависит от опыта оператора. Поэтому МСКТ-исследование при травме органов грудной клетки должно проводиться в присутствии торакального хирурга.
Список литературы:
- Гавелли Г., Наполи Г., Баттиста Г., Фаттори Р. Лучевая диагностика повреждений грудной клетки. М.: Видар, 2008. Том 1.
- Комитет по травмам. Расширенная поддержка жизни при травмах. Американский колледж хирургов. 7-е изд. Чикаго: Сент-Клер-стрит; 2004.
- Лоссо Л.К., Гефтер М.К. Проникающая травма грудной клетки. В: Паттерсон Г.А., Купер Дж.Д., Делорье Дж. и др., ред. Торакальная и пищеводная хирургия Пирсона. 3-е изд. Нью-Йорк: Черчилль Ливингстон; 2008.
- Фрейсине Дж., Бельтран Дж., Родригес П. и др. Индикаторы серьезной травмы при торакальных травмах. Арх. Бронкопневмол. 2008. Джонсон Г. Травматический пневмоторакс: всегда ли необходим дренаж грудной клетки. Дж. Акцид. Экстрен. Мед. 1996.