professor, candidate of medical sciences, Kazakh National Medical University named after S.D. Asfendiyarov NCJSC, Kazakhstan, Almaty
SARCOIDOSIS OF THE LUNGS: MODERN METHODS OF DIAGNOSIS AND TREATMENT
ABSTRACT
Sarcoidosis is a multi-systemic disease of unknown etiology, characterized by the formation of granulomas in various organs. Any organ can be affected, the frequency varies depending on ethnicity, sex and age. Pulmonary sarcoidosis can be asymptomatic or lead to a deterioration in the quality of life. The result is observed only in patients with fibrotic pulmonary sarcoidosis, accounting for 10% to 20% of patients with pulmonary sarcoidosis. In our article, we will study the results of treatment carried out in our own clinical practice, the frequency and complications of the disease.
АННОТАЦИЯ
Саркоидоз - мультисистемное заболевание неизвестной этиологии, характеризующееся образованием гранулем в различных органах. Может поражать любой орган, частота которого варьируется в зависимости от этнической принадлежности, пола и возраста. Легочный саркоидоз может протекать бессимптомно или приводить к ухудшению качества жизни. Результат наблюдается только у пациентов с фибротическим легочным саркоидозом, что составляет от 10% до 20% пациентов с легочным саркоидозом. В нашей статье мы изучаем результаты проведенного лечения, частоту и осложнения заболевания в нашей собственной клинической практике.
Keywords: lung diseases, sarcoidosis, pulmonology, complications.
Ключевые слова: заболевания легких, саркоидоз, пульмонология, осложнения.
Introduction. Pulmonary Sarcoidosis (PS) is a multi-organ disease characterized by infiltration of non-necrotizing granulomas of unknown etiology [1, 2]. The incidence of this disease worldwide continues to rise [1, 2]. Accurately determining the severity of the disease is challenging, mainly due to diagnostic criteria, the variable forms of the disease, or incidental radiographic findings. PS is more common among African Americans, especially women, with a prevalence ranging from 141 to 160 per 100,000 population. In contrast, lower prevalence is reported in Japan, South America, and India [1, 2]. In men, the disease peaks between the ages of 30 and 50, while in women, it peaks between 50 and 60 years, indicating a higher average age at diagnosis compared to previous estimates [3]. Some data suggest that PS typically begins in adults under 50, with approximately 70% of cases occurring between the ages of 25 and 40, and a second peak of incidence is observed in women over 50 years old [3, 4]. The expected incidence is between 2.3 and 11 cases per 100,000 people per year [4]. The projected prevalence ranges from 2.17 to 160 cases per 100,000 people [4].
In a five-year study conducted by Baughman RP and several other authors, the incidence among Caucasian Americans was 10.9 cases per 100,000 people, whereas it was significantly higher among African Americans, at 35.5 cases per 100,000 people [5].
Not all patients with PS require systemic treatment, which is typically needed only in cases of vital organ involvement (developing pulmonary fibrosis, pulmonary hypertension, central nervous system sarcoidosis, cardiac sarcoidosis, portal hypertension, etc.) or functional threat (severe or damaged skin conditions, laryngeal stenosis, and/or posterior uveitis) [6, 7]. The expected life expectancy of patients with PS is generally shorter than the average life expectancy in the population. In Western countries, most deaths due to PS are related to respiratory failure, pulmonary hypertension, or their combination, leading to developing pulmonary fibrosis [7], while in rare cases, death may be caused by cardiac sarcoidosis, CNS sarcoidosis, or portal hypertension [3].
Several factors suggest a genetic predisposition to PS. These include increased concordance among monozygotic twins (from 5% to 16%), significant ethnic variations in the frequency of the disease, clinical presentation, and outcomes, as well as the association of human leukocyte antigens (HLA) and non-HLA alleles with susceptibility to sarcoidosis, phenotype, and prognosis: HLA-DRB103 is associated with acute and self-limiting sarcoidosis (e.g., Lofgren's syndrome) [8, 10].
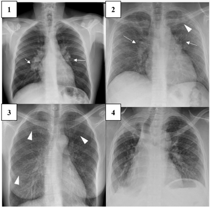
Clinical manifestations of PS include: cough 27-53%, shortness of breath 18-51%, and chest pain 9-23% [8, 9]. Chronic shortness of breath is frequently observed in patients with delayed diagnosis [9]. Bilateral lymphadenopathy and perilymphatic nodes in the lungs, typically in the upper lobe, are common radiographic findings. Scadding's classification of pulmonary sarcoidosis based on chest X-rays identifies four stages of the disease (Figure 1) [3].
/Nukusheva.files/image001.png)
Figure 1. Chest X-ray overview: 1. Bilateral lymphadenopathy of the lymph nodes; 2. Infiltrates in the upper lobes of the lungs; 3. Pulmonary infiltrates without lymphadenopathy; 4. Pulmonary fibrosis
In the diagnosis of pulmonary sarcoidosis (PS), a special diagnostic method is computed tomography (CT), which is of significant prognostic value for the disease [6]. Mediastinal lymphadenopathy, particularly in the right paratracheal and aortopulmonary regions, is commonly observed in chest CT scans. The calcification of lymph nodes, alveolar and pseudoalveolar consolidations, and the "galaxy" sign are considered distinctive features of PS (Figure 2) [6].
/Nukusheva.files/image002.png)
Figure 2. Computed tomography images of patients with advanced pulmonary sarcoidosis and severe pulmonary dysfunction, candidates for lung transplantation
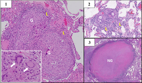
Considering that the clinical manifestations of pulmonary sarcoidosis (PS) are often nonspecific, histological examination of tissue granulomas is required to confirm the diagnosis [6, 11]. The histological hallmark of PS is well-formed, discrete, non-necrotizing granulomas composed of epithelioid histiocytes surrounded by peripheral lymphocytes, plasma cells, and fibroblasts, along with multinucleated giant cells (Figure 3). In some patients, the coalescing granulomas can be extensive and disrupt the normal architecture of lung tissue [6, 11].
/Nukusheva.files/image003.png)
Figure 3. Histological features of pulmonary sarcoidosis
At the level of primary healthcare (PHC), special attention must be given to identifying characteristic clinical symptoms and conducting basic diagnostic tests to ensure early referral of the patient to specialized medical facilities.
The therapeutic approaches to the treatment of pulmonary sarcoidosis depend on the degree of activity of the pathological process and the presence of complications. In most cases, immunosuppressants and corticosteroids will be required. The effectiveness of therapy necessitates monitoring at all stages of treatment, taking into account the individual characteristics of each patient.
Objective of the study: To publish the results of the diagnosis and treatment of pulmonary sarcoidosis based on the analysis of clinical, radiological, and morphological data of patients with this disease.
Materials and methods: Between January 1, 2019, and August 1, 2024, a retrospective clinical-statistical analysis was conducted on 32 patients who received treatment for pulmonary sarcoidosis at the "Pediatric and Thoracic Surgery" department of the A.N. Syzganov National Surgery Center in Almaty.
Inclusion criteria for the study: Patients aged over 18 years with a diagnosis of pulmonary sarcoidosis based on clinical, radiological, morphological, or laboratory data.
Exclusion criteria from the study: Patients without reliable clinical, radiological, or morphological confirmation of the diagnosis of pulmonary sarcoidosis. Patients with decompensation of concomitant diseases such as chronic renal, liver, or heart failure, as well as patients who refused participation in the study or treatment for medical or personal reasons. Patients with allergic reactions or contraindications to the diagnostic and treatment methods used.
For all included patients, complaints, clinical data, laboratory and instrumental research results, and pathological and histological examination results were analyzed. The degree of the disease was determined according to the treatment protocols approved by the American Thoracic Society (ATS).
Statistical methods were used to verify the data. The mean values (M±m) and the significance of differences between the mean values were assessed using the Student's t-test. Differences at a significance level of p<0.05 were considered statistically significant. Statistical processing of the data was performed using Microsoft Office Excel.
Results and discussion: The average age of the patients was 47.27±7.93 years, with women (n=25) having an average age of 43.52±9.07 years and men (n=7) 51.03±6.74 years (p<0.01) (Table 1). Thus, the average age difference between men and women was 7.51 years (Table 1). Regarding gender distribution, the proportion of women was n=25 (78.12%), and men n=7 (21.88%) (p<0.01) (Figure 4).
/Nukusheva.files/image004.png)
Figure 4. Distribution of patients by gender (%)
Table 1.
Classification of the study group based on age indicators (%)
|
Indicators |
Men (n=7) |
Women (n=25) |
Confidence Interval |
|
Average age, years |
47,27±7,93 |
43,52±9,07 |
p<0,01
|
|
Average BMI (kg/m²) |
26,03±4,25 |
28,48±5,08 |
Note: BMI – Body Mass Index (kg/m²)
Pulmonary sarcoidosis is classified based on radiological data and the progression of the disease. Four main stages are distinguished depending on the involvement of lung tissue and mediastinal lymph nodes:
- Stage I (Lymphoglandular stage): Characterized by bilateral enlargement of the mediastinal lymph nodes (mainly at the bifurcation, para-aortic, and tracheobronchial sites). This stage is often asymptomatic or shows minimal symptoms (e.g., cough).
- Stage II (Pulmonary-lymphatic stage): Enlargement of the mediastinal lymph nodes along with infiltration of lung tissue (diffuse small nodules, reticular pattern).
- Stage III (Pulmonary stage): Marked by significant infiltration of lung tissue without lymph node enlargement.
- Stage IV (Fibrotic stage): Replacement of normal lung tissue with connective tissue, leading to interstitial fibrosis, which results in respiratory failure and chronic pulmonary insufficiency [6, 11].
As shown in Figure 5, pulmonary sarcoidosis was classified according to clinical stages. Stage 0 was identified in n=2 (6.25%) patients, Stage I in n=15 (46.87%), Stage II in n=9 (28.12%), Stage III in n=5 (15.6%), and Stage IV in n=1 (3.12%) patient (Figure 5).
Regarding comorbidities in the patients' medical history, bronchial asthma (31.25%), chronic obstructive pulmonary disease (25%), arterial hypertension (15.63%), and coronary artery disease (12.5%) were found. The frequency of exacerbation of comorbid conditions was high (p<0.05) (see Figure 6 for details).
/Nukusheva.files/image005.png)
Figure 5. Classification of patients based on the clinical stages of the disease (%)
/Nukusheva.files/image006.png)
Figure 6. Percentage of comorbidities in patients (%)
In the study, special attention was paid to the clinical manifestations in patients with diagnosed sarcoidosis (Table 2). Among the clinical manifestations, n=7 patients (21.87%) showed a detailed presentation of Löfgren's syndrome (fever, erythema nodosum, arthralgia, enlargement of mediastinal lymph nodes). n=22 (68.75%) patients exhibited extrathoracic manifestations of sarcoidosis, including n=9 (28.12%) with skin involvement (vasculitis, subcutaneous nodules), n=11 (34.37%) with lymph node involvement at various sites, n=5 (15.63%) with nervous system involvement (neurosarcoidosis, peripheral neuropathy), liver involvement in n=3 (9.38%), ocular involvement in n=2 (6.25%), joint involvement at various locations in n=7 (21.87%), kidney involvement in n=2 (6.25%), and heart involvement in n=1 (3.12%) in the form of constrictive pericarditis and myocarditis (Table 2).
Table 2.
Percentage of extrathoracic manifestations in patients (%)
|
Extrathoracic or extrapulmonary manifestations |
Total (n=32/100%) |
p-value |
|
Lymphadenopathy |
(n=11/34,37%) |
0,09 |
|
Skin involvement |
(n=9/28,12% |
0,12 |
|
Liver involvement |
(n=3/9,38%) |
0,56 |
|
Ocular involvement |
(n=2/6,25%) |
0,83 |
|
Heart involvement |
(n=1/3,12%) |
0,97 |
|
Nervous system involvement |
(n=5/15,63%) |
0,36 |
|
Kidney involvement |
(n=2/6,25%) |
0,83 |
|
Salivary gland involvement |
(n=1/3,12%) |
0,97 |
|
Spleen involvement |
(n=1/3,12%) |
0,97 |
|
Joint involvement |
(n=7/21,87%) |
0,14 |
The complications of sarcoidosis most often reflect the progression of the disease and its systemic nature. The frequency of complications depends on the stage of sarcoidosis, involvement of other organs, and individual characteristics of the patient. In the study, respiratory failure was observed in 9.38% (p=0.02), pulmonary fibrosis in 15.63% (p=0.03), pneumoconiosis in 6.25% (p=0.09), and pulmonary emphysema in 9.38% (p=0.02). Thus, these complications highlight their significance for patients with sarcoidosis (Table 3).
Table 3.
Percentage of pulmonary manifestations in patients (%)
|
Complications |
Number of patients (n) |
Percentage (%) |
p-value |
|
Respiratory failure |
3 |
9,38% |
0,02 |
|
Pulmonary fibrosis |
5 |
15,63% |
0,03 |
|
Pneumoconiosis |
2 |
6,25% |
0,09 |
|
Pulmonary emphysema |
3 |
9,38% |
0,02 |
PS is a chronic inflammatory disease that leads to various dysfunctions of lung function. Restrictive respiratory disorders are characterized by a reduction in lung volume due to the loss of lung tissue elasticity, fibrotic changes, or damage to the interstitial tissues, while obstructive disorders are associated with narrowing of the airways, which makes exhalation difficult [8-11]. In pulmonary sarcoidosis, functional impairments can be both restrictive and obstructive, depending on which component of the lung (interstitial tissue or bronchus) is affected. Evaluating these changes through pulmonary functional tests (spirometry, DLCO, etc.) is an important tool for diagnosing and monitoring the disease [8-11].
In this study, the results of functional tests in all patients (n=32) were assessed. Restrictive disorders were identified in n=12 (25.5%), obstructive disorders in n=15 (46.88%), and diffuse pulmonary abnormalities in n=5 (15.63%) (Figure 7).
/Nukusheva.files/image007.png)
Figure 7. Clinical indicator of pulmonary function impairment (%)
In most cases, the treatment of pulmonary sarcoidosis is conservative, using immunomodulatory drugs (e.g., steroids) and other methods. However, in cases where the disease causes complications, surgical intervention may be necessary [8-11].
The main surgical procedure is diagnostic bronchoscopy and biopsy, which is used when it is difficult to determine the cause of radiographic or CT changes. Lobectomy is performed in severe forms of sarcoidosis, especially when other treatments are ineffective. As for pneumonectomy, this surgery involves the removal of the entire lung. It is performed in rare and severe cases of sarcoidosis, where both lungs are heavily affected by fibrosis and granulomatous changes, leading to severe respiratory failure. Finally, palliative surgeries: in some cases that lead to irreversible changes in the lungs, palliative interventions are recommended to improve the patient’s quality of life [8-11].
Thus, surgery for sarcoidosis is primarily performed in cases of severe complications such as lung tissue fibrosis, respiratory failure, and pneumothorax, or when the disease cannot be treated with medication. The decision to perform surgery must be based on a thorough diagnosis and evaluation of the patient’s condition.
In our experience, the majority of our patients underwent palliative surgery and surgical intervention for biopsy to confirm the diagnosis. Regarding the main types of surgeries performed on our patients, video-assisted thoracoscopic surgery (VATS) was performed in 65.6% of cases, transbronchial biopsy in 44%, open lung biopsy in 28%, and pleural cavity drainage in 47% of patients (Figure 8). Thus, in our clinical experience, the proportion of minimally invasive surgeries performed was more than 70%.
Video-assisted thoracoscopic surgery (VATS) allowed not only for lung tissue biopsy but also, if necessary, for performing therapeutic surgical manipulations, thereby reducing the risk for the patient. Open biopsy required a longer recovery period and was associated with a higher frequency of postoperative complications. Pleural cavity drainage was used to prevent or treat pleural complications, which may occur in pulmonary sarcoidosis, and was useful for improving respiratory function. Overall, surgical treatment of pulmonary sarcoidosis helps improve diagnosis, reduce symptoms, and prevent complications, but requires a personalized treatment approach based on the patient’s condition.
/Nukusheva.files/image008.png)
Figure 8. Indicators for the main types of surgery performed on patients (%)
/Nukusheva.files/image009.png)
Figure 9. CT scan of Patient K., a 47-year-old male, showing the appearance of Stage IV clinical sarcoidosis
Conservative treatment of sarcoidosis depends on the degree of lung involvement, symptoms, and the presence of complications. Prednisolone and methylprednisolone are the main drugs used for treating sarcoidosis. Methotrexate reduces inflammation and suppresses the immune response. It is prescribed when corticosteroids are ineffective or poorly tolerated. Azathioprine and mycophenolate can be used as alternatives to methotrexate. Among cytostatics, cyclophosphamide is rarely used due to its high risk of side effects, although it may be effective in severe cases. Additionally, anti-TNF drugs such as infliximab and adalimumab inhibit tumor necrosis factor (TNF-α), which plays a key role in granuloma formation [12-14].
The frequency of relapses depends on the stage of the disease and the effectiveness of treatment. Relapses occur in about 30-50% of patients, especially when short-term therapy is administered. Corticosteroids are effective in 70-90% of patients, reducing inflammation and symptoms of sarcoidosis. Positive results are often seen within 2-4 weeks of therapy, but long-term treatment is necessary for sustained effect [8-11]. Treatment monitoring includes regular pulmonary functional tests (spirometry, diffusion capacity), chest X-ray, and CT to assess disease progression [8-11].
In our center, n=29 (90.63%) patients with histologically confirmed sarcoidosis underwent hormone therapy with prednisolone as the preferred drug, starting at a dose of 40-45 mg daily, for a course of 10-18 months. The duration of prednisolone treatment was 12.3±4.6 months. Prednisolone therapy demonstrated high clinical efficacy in the majority of patients, with clinical symptom improvement in 85.7% and regression of radiological changes in 75% of cases. In patients with late-stage disease (III-IV stages), the effect was less pronounced but still led to stabilization of the condition. Immunosuppressive therapy (methotrexate, azathioprine) was effective in 70% of cases, and TNF-α inhibitors (e.g., infliximab) were used in patients with severe fibrosis, showing improvement in 60% of these cases (Table 3). Symptom reduction or disappearance (cough, dyspnea, fatigue) was observed in 85.7% of patients, with regression of radiological changes such as lymphadenopathy and pulmonary infiltrates seen in 75% (Table 4).
Treatment of pulmonary sarcoidosis requires an individualized approach, taking into account disease severity and response to therapy. Corticosteroids remain the primary treatment, but when they are ineffective or poorly tolerated, immunosuppressive drugs and anti-TNF agents are used. Relapses may occur but can be prevented with appropriate treatment and careful tapering of medications.
Table 4.
Types of Treatment Methods for Patients (%)
|
Treatment Method |
Total number of patients (%) |
Effectiveness |
|
Glucocorticosteroids (GCS) |
26 (81%) |
85% |
|
Immunosuppressants (Methotrexate) |
8 (25%) |
70% |
|
Observation without therapy |
5 (16%) |
- |
|
Oxygen therapy (Stages III-IV) |
7 (22%) |
- |
Relapse of sarcoidosis (recurrence of the disease after the remission period) occurred in 15.63% of patients, p=0.07. However, the presence of relapses requires special attention for patients who face this complication, as a relapse can lead to deterioration and necessitate adjustment of the therapy (Table 5). Thus, despite the lack of statistical significance, the relapse frequency at the level of MSAC can serve as a signal to strengthen the monitoring of patients, especially those with signs of disease recurrence. This may involve additional diagnostic studies and adjustments to therapeutic approaches to prevent further exacerbations.
Table 5.
Relapse frequency in patients (%)
|
Disease Relapse |
Total number (n) |
Percentage (%) |
p-value |
|
Yes |
5 |
15,63% |
0,07 |
|
No |
27 |
84,38% |
|
Conclusion
A comparative analysis of foreign and domestic studies on pulmonary sarcoidosis revealed similarities in the key principles of diagnosis and treatment, but certain differences in the methods were identified. Abroad, the latest diagnostic technologies are often used, such as high-tech imaging techniques (e.g., PET-CT) and the active use of biologic drugs, which help improve disease monitoring, especially in severe cases. In contrast, the traditional approach in domestic practice often involves steroid therapy and standard biopsy methods.
The study showed that corticosteroids remain the main method of treating pulmonary sarcoidosis, with an effectiveness of approximately 85%. Despite the high level of efficacy, the relapse rate was about 20%, indicating the need for attention to the dosage and duration of therapy. The disappearance of symptoms (cough, shortness of breath, fatigue) was observed in 85.7% of patients, and regression of radiographic changes, such as reduced lymphadenopathy and infiltrates in the lungs, was seen in 75% of cases. Relapses and complications typically occurred when therapy protocols were not followed.
The surgical method proved important in treating pulmonary sarcoidosis, particularly in cases with complications. The most common method, used in 65.6% of patients, was video-assisted thoracoscopy, which confirms its high effectiveness and minimally invasive nature. Overall, surgical treatment played a significant role in diagnosing and treating pulmonary sarcoidosis, improving treatment outcomes and ensuring diagnostic accuracy.
Modern diagnostic methods, including high-precision instrumental studies and laboratory markers, enable timely detection of pulmonary sarcoidosis. The use of corticosteroids with alternative medications, based on an individualized approach or combination therapy, contributes to achieving remission and improving the quality of life for most patients. However, further research on the long-term effectiveness of new therapeutic approaches remains a crucial task in clinical medicine.
References:
- Baughman RP, Valeyre D, Korsten P, Mathioudakis AG, Wuyts WA, Wells A, Rottoli P, Nunes H, Lower EE, Judson MA, Israel-Biet D, Grutters JC, Drent M, Culver DA, Bonella F, Antoniou K, Martone F, Quadder B, Spitzer G, Nagavci B, Tonia T, Rigau D, Ouellette DR. ERS clinical practice guidelines on treatment of sarcoidosis. Eur Respir J. 2021 Dec 16;58(6):2004079. doi: 10.1183/13993003.04079-2020. PMID: 34140301.
- Trivieri MG, Spagnolo P, Birnie D, Liu P, Drake W, Kovacic JC, Baughman R, Fayad ZA, Judson MA. Challenges in Cardiac and Pulmonary Sarcoidosis: JACC State-of-the-Art Review. J Am Coll Cardiol. 2020 Oct 20;76(16):1878-1901. doi: 10.1016/j.jacc.2020.08.042. PMID: 33059834; PMCID: PMC7808240.
- Sève P, Pacheco Y, Durupt F, Jamilloux Y, Gerfaud-Valentin M, Isaac S, Boussel L, Calender A, Androdias G, Valeyre D, El Jammal T. Sarcoidosis: A Clinical Overview from Symptoms to Diagnosis. Cells. 2021 Mar 31;10(4):766. doi: 10.3390/cells10040766. PMID: 33807303; PMCID: PMC8066110.
- Crouser ED, Maier LA, Wilson KC, Bonham CA, Morgenthau AS, Patterson KC, Abston E, Bernstein RC, Blankstein R, Chen ES, Culver DA, Drake W, Drent M, Gerke AK, Ghobrial M, Govender P, Hamzeh N, James WE, Judson MA, Kellermeyer L, Knight S, Koth LL, Poletti V, Raman SV, Tukey MH, Westney GE,
- Baughman RP. Diagnosis and Detection of Sarcoidosis. An Official American Thoracic Society Clinical Practice Guideline. Am J Respir Crit Care Med. 2020 Apr 15;201(8):e26-e51. doi: 10.1164/rccm.202002-0251ST. PMID: 32293205; PMCID: PMC7159433.
- Meyer KC. Lung transplantation for pulmonary sarcoidosis. Sarcoidosis Vasc Diffuse Lung Dis. 2019;36(2):92-107. doi: 10.36141/svdld.v36i2.7163. Epub 2019 May 1. PMID: 32476942; PMCID: PMC7247104.
- Kentaro S, Kai Y, Matsuda M, Horimoto K, Iwai K, Hamada E, Yamamoto Y, Takano M, Muro S. Pulmonary sarcoidosis with lung injury induced by shin'iseihaito. Sarcoidosis Vasc Diffuse Lung Dis. 2022;39(3):e2022026. doi: 10.36141/svdld.v39i3.12895. Epub 2022 Sep 23. PMID: 36791031; PMCID: PMC9766847.
- Obi ON, Saketkoo LA, Russell AM, Baughman RP. Sarcoidosis: Updates on therapeutic drug trials and novel treatment approaches. Front Med (Lausanne). 2022 Oct 12;9:991783. doi: 10.3389/fmed.2022.991783. PMID: 36314034; PMCID: PMC9596775.
- Dhooria S, Chopra A, Munavvar M. Editorial: Pulmonary sarcoidosis. Front Med (Lausanne). 2023 Mar 29;10:1177797. doi: 10.3389/fmed.2023.1177797. PMID: 37064026; PMCID: PMC10090693.
- Franco G, Debray MP, Anzani N, Marruchella A, Cazes A, Le Guen P, Taillé C, Faverio P, Borie R, Luppi F, Crestani B. Cystic lung in sarcoidosis: Clinico-radiologic characteristic and evolution. Respirology. 2024 Aug 28. doi: 10.1111/resp.14823. Epub ahead of print. PMID: 39197869.
- Belperio JA, Fishbein MC, Abtin F, Channick J, Balasubramanian SA, Lynch Iii JP. Pulmonary sarcoidosis: A comprehensive review: Past to present. J Autoimmun. 2023 Oct 19:103107. doi:10.1016/j.jaut.2023.103107. Epub ahead of print. PMID: 37865579.
- Sundetov M.М., Berkinbay А.B. Modern methods of thoracoscopic treatment of spontaneous pneumothorax. Astana Medical Journal. - 2023 - No. 3. - Volume 117. DOI: https://doi.org/10.54500/2790-1203-2023-3-117-21-27.
- Tussupbekova M., Bakenova R., Stabayeva L., et al. Clinic - Morphologic and Morphometric Criteria for Differential Diagnosis of Sarcoidosis and Pulmonary Tuberculosis // Open Access Maced J Med Sci. 2019; 7(9); 1480-1485.
- Ungprasert P., Ryu J.H., Matteson E.L. Clinical Manifestations, Diagnosis, and Treatment of Sarcoidosis // Mayo Clin PInnov Qual Outcomes. 2019; 2-3(3); 358-375.