Doctor of Philosophy in Agricultural Sciences (PhD), Senior researcher, Director of the Scientific Research Institute of Fishery, Uzbekistan, Tashkent
ATTAINMENT OF SEXUAL MATURITY BY MOZAMBIQUE TILAPIA (Oreochromis mossambicus) UNDER CLIMATIC CONDITIONS OF UZBEKISTAN
ABSTRACT
The article is devoted to the study of sexual maturation processes and oogenesis features in Mozambique tilapia (Oreochromis mossambicus), bred under climatic conditions of Uzbekistan. The morphological changes and reproductive system physiology characteristic of each stage of maturity are described in detail. Recommendations are provided regarding optimal breeding conditions that promote early attainment of sexual maturity in fish. Special attention is given to the influence of temperature regime and nutritional quality on the rate of gonad development. The results highlight high productivity and efficiency of tilapia farming in local conditions, opening up prospects for expanding aquaculture production in Uzbekistan.
АННОТАЦИЯ
Статья посвящена исследованию процессов полового созревания и особенностей овогенеза мозамбикской тилапии (Oreochromis mossambicus), выращиваемой в климатических условиях Узбекистана. Подробно описаны морфологические изменения и физиология репродуктивной системы, характерные для каждой стадии зрелости. Даны рекомендации относительно оптимальных условий разведения, способствующих ускоренному достижению половой зрелости у рыбы. Особое внимание уделено влиянию температурного режима и качества питания на скорость развития гонад. Результаты подчеркивают высокую продуктивность и эффективность выращивания тилапии в местных условиях, открывая перспективы расширения производства аквакультуры в Узбекистане.
Keywords: aquaculture, climatic conditions, Mozambique tilapia, fish sexual maturity.
Ключевые слова: аквакультура, климатические условия, мозамбикская тиляпия, половая зрелость рыб.
Introduction
Fish species belonging to the cichlid family (Cichlidae), particularly the Mozambique tilapia (Oreochromis mossambicus), have become one of the most promising targets for commercial fish farming worldwide, including Uzbekistan. These fish exhibit rapid growth rates, adaptability to diverse environmental conditions, and resistance to diseases, making them attractive candidates for aquaculture. One critical factor influencing successful reproduction is achieving early sexual maturity, which allows for stable population maintenance and increased overall farm yield.
The Mozambique tilapia has become one of the most sought-after model organisms, including in studies on fish reproductive systems, due to its adaptability to various conditions, short period of sexual maturation at relatively large size, and other characteristics. Its oogenesis is well studied both under intact laboratory conditions and when exposed to factors of different nature [Kraft, Peters, 1963; Chistova, 1976; Chmilevsky, Lavrova, 1990; Chmilevsky, 2017]. This fact is important for our work since it involves exposing fish with a specific gonad condition.
This work aims to provide a detailed description and evaluation of the dynamic changes occurring within the reproductive systems of Mozambique tilapia during various stages of sexual maturation in the climatic conditions of Uzbekistan. We analyze the process of oogenesis, focusing on the formation and development of germ cells, with particular emphasis on gonal morphology and functional state. The research covers five main stages of maturity, from initial primordial cell formation through complete egg cell development.
The findings will help determine an optimal care regimen for tilapia populations, ensuring effective reproduction and maximizing product output under local Uzbekistani conditions.
Research methods
The studies were conducted at the laboratory complex of the Scientific Research Institute of Fisheries. The object of investigation was Mozambique tilapia (Oreochromis mossambicus), representing one of the most promising species for aquaculture in Uzbekistan.
Materials:
- The studied generation of fish originated from larvae hatched in February 2023.
- All observations and measurements took place throughout the active vegetation period (from March to October 2023).
- Sampling was carried out systematically every month to determine the degree of gonad maturity and analyze indicators of oogenesis.
Methods:
- Growth Assessment: Average body mass and total length values were determined for each specimen.
- Study of Gonads: Microscopic techniques were employed to analyze gonad tissues using fixed samples stained with hematoxylin-eosin. Oocyte sizes were measured via light microscopy combined with specialized software.
- Classification of Gonad Maturity Stages: Gonads were classified according to internationally recognized standards into five stages: Stage 1—primary differentiation, Stage 2—endogenous vitellogenesis, Stage 3—yolk accumulation, Stage 4—fully matured oocytes, Stage 5—resorption of remaining immature cells.
- Environmental Condition Monitoring: Water temperature and dissolved oxygen concentration were regularly monitored and maintained within specified ranges (water temperature: 22.5–32.2°C; dissolved oxygen level: above 4–6 mg/L). Feeding involved specially formulated pelleted feeds with a high protein content (~28%).
Summarization of the data allowed us to establish patterns of early sexual maturation in Mozambique tilapia under laboratory conditions in Uzbekistan and formulate practical recommendations for organizing efficient commercial cultivation of this fish species.
Research results
Oogenesis in tilapia can be conditionally divided into five consecutive stages:
- Stage 1 — Primary Germ Cells (Previtellogenic Phase) Small-sized germ cells (7–10 μm); primary oocytes increase due to mitotic divisions. Cell growth is slow. By the end of this stage, oocyte size reaches approximately 200 μm.
- Stage 2 — Endogenous Vitellogenesis (‘Small-Growth Phase’) Yolk material begins forming inside the oocytes themselves.
- Stage 3 — Accumulation of Yolk (Exogenous Vitellogenesis) Oocytes rapidly grow, reaching about 1000–1200 μm (1–2 mm) by the end of this stage. Intensive yolk deposition occurs, with proteins synthesized outside the oocyte itself (source: liver). At completion of this phase, formed eggs are referred to as ‘ripe’ or ready-to-spawn ova awaiting favorable environmental conditions (such as water temperature, illumination levels, etc.). Artificial hormonal stimulation accelerates this process.
- Stage 4 — Ripe Oocytes Eggs either release naturally or are manually extracted (under controlled conditions). Yolk concentrates into a single droplet, the envelope becomes transparent, and the nucleus shifts closer to the animal pole of the ovum.
- Stage 5 — Resorption of Unfertilized Eggs After fertilization, any unfertilized or prematurely released eggs gradually degrade and completely dissolve within the mother’s organism.
Table 1.
Scale of Gonad Maturity in Tilapia Under Uzbekistani Conditions
|
Stage |
Morphological Features of Gonads |
Composition of Gametes |
|
I |
Thin translucent filaments, sex not distinguishable by naked eye |
In females: juvenile-phase oocytes tightly adjacent to each other. In males: spermatogonia |
|
II |
Immature individuals — gonads thicken noticeably, clearly differentiated between sexes, female gonads semi-transparent, male gonads white (milky color) |
In females: appearance of single-layer follicle oocytes, younger forms also present. In males: proliferating spermatogonia |
|
III |
Maturing individuals — gonads enlarged in volume, visible opaque ova in females, edges quickly flatten upon cutting in males |
In females: previtellogenic oocytes predominant along with earlier forms. In males: first-order and second-order spermatocytes, sperm |
|
IV |
Sexually mature individual — well-developed gonads, easily discernible ripe ova in females extending to one-third cavity length |
In females: all phases of growing oocytes, including yellowed ones. In males: free sperm, reserve spermatogonia |
|
V |
Ovulated eggs ready for spawning, freely expelled from anus when abdomen pressed |
In females: fully mature oocytes alongside previous-stage oocytes. In males: free sperm, reserve spermatogonia |
|
VI (degeneration) |
Flaccid, soft, dark red-colored gonads |
This stage was not investigated since it did not fall within our research scope |
Development of female gonads proceeds sequentially and closely correlates with general fish growth. To evaluate gonad condition, specialists use a scale of gonad maturity. Below is a description of gonadogenesis in Mozambique tilapia reared under Uzbekistani conditions (Table 1). (Kurbanov, A. R. 2019) [5]
We conducted a study on the maturation process of Mozambique tilapia (Oreochromis mossambicus) using a specific generation whose fry were obtained in February 2023. By April 2023, the young fish had grown to an average weight of 5–8 grams under controlled culture conditions. By end-April, their average weight reached around 18.4 grams, after which they were transferred to innovative pond recycling aquaculture system equipped with geotextile linings, maintaining stocking density at 20 fish per cubic meter. [1; 4; 12; 13].
/Kurbanov.files/image001.jpg)
Figure 1. Innovative pond where tilapias were raised
* The photo was taken by A.R. Kurbanov
Throughout the entire vegetative season until late September, water temperatures remained favorable for tilapia, ranging from 22.5 °C to 33.2 °C. Dissolved oxygen concentrations consistently exceeded 4–6 mg/liter, while the water was fresh. The fish received daily balanced diets consisting of granular feed containing 28% protein. Initially, feeding rates accounted for 4% of total biomass but later decreased to 3%. [5]
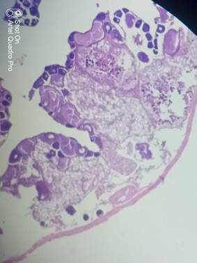
By mid-July (age 3.5–4 months), both male and female specimens exhibited gonads at the second stage of maturity, corresponding to a body weight of approximately 40 grams (Figures 2, 3). [5]
|
|
|
Figure 2. Male gonads (left) of tilapia at the second stage of maturity
* A.R. Kurbanov conducts necropsy of tilapia during bonitation.
/Kurbanov.files/image005.jpg)
Figure 3. Paraffin section of male gonads of tilapia
at the second stage of maturity
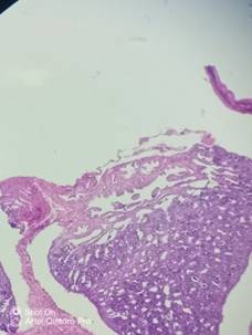
By September (six-month-old age), gonads of both sexes transitioned to the third stage of maturity. Visual examination confirmed this observation, and histological sections revealed larger previtellogenic oocytes with vacuoles typical of vitellogenesis. [5]
/Kurbanov.files/image007.jpg)
Figure 4. Third stage of egg maturity in tilapia
* A.R. Kurbanov conducts necropsy of tilapia during bonitation.
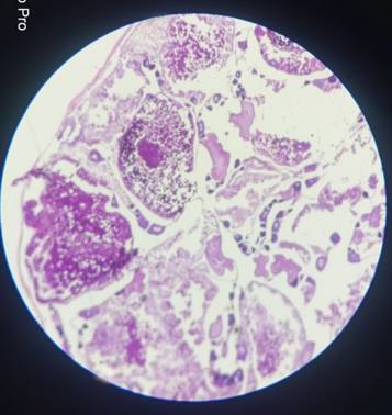
By October (seven months old), most fish had reached the fourth stage of maturity (Figure 5). [5]
/Kurbanov.files/image009.jpg)
Figure 5. Fourth stage of egg maturity in tilapia
* A.R. Kurbanov conducts necropsy of tilapia during bonitation.
Less developed pre-vitellogenic oocytes serving as a reserve pool were also observed. Transition to the third stage occurred in males weighing approximately 70 grams and measuring 14–16 cm in length.
So, after all we can construct a generalized table of morphometric and histological characteristics of the ontogenetic development of Mozambique tilapia (Oreochromis mossambicus), dividing the oogenic process into five conditional stages. You may refer to the morphological characteristics and signs of egg maturation in female Mozambique tilapia presented in Table 2.
Table 2.
Stages of Development of the Female Reproductive System
|
Stage |
Description |
Characteris-tics of Egg Cells |
Morphology |
Body Weight, g |
Length, cm |
Period of Onset |
|
I |
Thin, translucent threads; gender indistinguishable visually |
Tiny oogonial cells (~7–10 µm); slow growth rate |
Initial signs of differentiation |
~1 gram |
~3–4 cm |
Larval stage, newborn fish |
|
II |
Formation of primordial follicles, noticeable tissue thickening |
Emergence of juvenile oocytes |
Insignificant increase in gonadal volume |
~5 grams |
~5–6 cm |
First few months of life |
|
III |
Visible boundaries of oocytes, becoming slightly translucent |
Initiation of yolk accumulation (up to 1–2 mm diameter) |
Increase in gonadal size |
~40 grams |
~10–12 cm |
Second quarter of life |
|
IV |
Bright yellow coloration, distinct presence of large matured eggs |
Completion of yolk storage, ready for fertilization |
Easily extractable mature eggs manually |
~70 grams |
~14–16 cm |
Late second half-year |
|
V |
Regression of immature/unfertilized eggs, gradual resorption of remnants |
Remaining oocytes undergo degradation |
Regeneration of follicular apparatus |
Post-spawning |
Post-spawning |
After the breeding season ends |
Additional Observations:
- Most fish reach the second developmental stage by four months of age.
- The third stage typically appears around six months of age, characterized by rapid egg growth.
- The fourth stage marks the formation of adult, sexually mature individuals.
- Key factors influencing normal oogenesis include water temperature, dissolved oxygen level, and balanced nutrition.
Conclusions
Our findings highlight that sexual maturation in Mozambique tilapia follows distinct developmental patterns across different life stages. The data indicate a close correlation between gonad development and overall fish growth, emphasizing the importance of proper nutritional regimes and optimal environmental conditions for successful breeding programs.
Key observations include:
-
Early Stage: From birth through initial juvenile stages, oocytes remain relatively small and undergo slow growth. This indicates that early-life care is critical for ensuring healthy reproductive outcomes later.
-
Intermediate Stages: During stages two and three, significant changes occur in oocyte morphology, highlighting the need for adequate nutrition and suitable living environments to support rapid growth and subsequent vitellogenesis processes.
-
Final Mature Stages: Once fish reach advanced maturity, their gonads become highly functional, capable of producing viable offspring. However, environmental factors such as water quality and temperature play crucial roles in determining final success rates.
Future studies should focus on refining these protocols further, particularly regarding optimization of diet composition and husbandry techniques tailored specifically for Mozambique tilapia in various climatic zones. Additionally, exploring alternative methods like artificial hormone treatments may enhance efficiency and productivity in commercial settings.
Thus, our study confirms that in the conditions of Uzbekistan, Mozambique tilapia achieves sexual maturity at seven months of life when kept in open waters starting from spring, attaining a body weight of 70–90 grams. These results align with available literature data and demonstrate the extremely small size of fish at the onset of sexual maturity compared to traditional regional species like carp and silver carp, which only reach maturity after three years of fast growth. Early maturation represents a significant advantage for tilapia farming. However, winter survival requires keeping these sexually mature fish in warm-water facilities with recirculating aquaculture systems.
References:
- Adam T. Guide to grow tilapia fish for starting a small-scale business. Retrieved from The Modern Farmer’s Blog. (2018) [in English]
- Balarin, J. D., & Fletcher, G. L. (Eds.). Tilapia aquaculture. CRC Press. 2017. [Electronic resource] URL: https://doi.org/10.1201/b21964 [in English]
- Chmilevskiy D.A., Oogenesis of fish under normal conditions and under extreme influences. Saint-Petersburg: Publishing House Saint-Petersburg State University. 2017. – PP. 280. [in Russian]
- Fred, H. A guide to the farming of tilapia. Jamaica Broilers Group of Companies, 2005. [in English]
- Kraft A. V., Peters H. M. 1963. Vergleichende studien uber die oogenese in der gattung tilapia (Cichlidae, Teleostei) // Zeitschrift fur Zellforschung. Vol. 220. № 61. - PP. 434–485. [in English]
- Kurbanov A. R. Role of tilapia fish in fishery industry. In Materials of Republican scientific-practical conference on prospects for livestock development in the republic 2019- PP. 169–172. [in Uzbek]
- Kuroda T., Satoh Y., & Yoshizaki G. Growth performance and reproduction of Mozambique tilapia (Oreochromis mossambicus): effects of temperature on gonadal development. Aquaculture Research, 2017. – PP. 2641–2652. [Electronic resource] URL: https://doi.org/10.1111/are.13324 [in English]
- Okomu E. A., & Omoregie D. O. Nutritional requirements for growth and survival of juvenile Mozambique tilapia (Oreochromis mossambicus). Journal of Animal Science Advances, 2017-7(2). – PP. 113–121. [in English]
- Penman D. J., & Acosta‐Ballesteros L. E. Advances in fish nutrition and health management. John Wiley & Sons. (2018). [in English]
- Privetzentsev, Y. A. [Tilapia (systematics, biology, economic use)]. Moscow: LLC ‘Stolichnaya Tipografiya.’ 2008. – PP. 80. [in Russian]
- Watanabe W.O., & Barrows F.T. Aquaculture production systems. John Wiley & Sons. 2018.
- Zhigin A.V. Industrial aquaculture of tilapia. 2005.
- Zhou, L., Dan, X., Li, Y., et al. Effect of reducing dietary protein level on growth performance and immunity of Nile tilapia (Oreochromis niloticus) with supplementation of multi amino acids. Iranian Journal of Fisheries Sciences, 2015. 14(4). – PP. 997–1009.
/Kurbanov.files/image002.jpg)
/Kurbanov.files/image003.jpg)