д-р мед. наук, проф. кафедры общей хирургии Андижанского государственного медицинского института, Республика Узбекистан, г. Андижан
ИЗУЧЕНИЕ МОРФОЛОГИЧЕСКИХ ПРЕОБРАЗОВАНИЙ МЯГКИХ ТКАНЕЙ ПРИ ИНТРАОПЕРАЦИОННОМ БАЛЛОННОМ РАСТЯЖЕНИИ
АННОТАЦИЯ
В работе представлены результаты морфологического анализа кожи и подлежащих мягких тканей после применения метода интраоперационного баллонного растяжения. Показано, что характер морфологических изменений, возникающих при быстром интраоперационном расширении тканей, существенно отличается от перестроек, наблюдаемых при длительном предварительном растягивании. Морфологическая оценка интраоперационно растянутых участков кожи позволяет объективно судить о безопасности и обоснованности используемой методики, а также о её влиянии на анатомо‑функциональные результаты реконструктивно‑пластических вмешательств.
ABSTRACT
This study presents the results of a morphological analysis of the skin and underlying soft tissues following the application of the intraoperative balloon stretching technique. It has been demonstrated that the nature of morphological changes occurring during rapid intraoperative tissue expansion differs significantly from the tissue remodeling observed during prolonged preliminary stretching. Morphological assessment of intraoperatively stretched skin areas makes it possible to objectively evaluate the safety and validity of the applied technique, as well as its impact on the anatomical and functional outcomes of reconstructive and plastic surgical interventions.
Ключевые слова: интраоперационное баллонное растяжение, мягкие ткани, рубец, забор тканей, закрытие дефекта.
Keywords: intraoperative balloon stretching, soft tissues, scar, tissue harvesting, defect closure.
Актуальность проблемы. В клинической практике реконструктивной и пластической хирургии нередко возникают ситуации, при которых первичное закрытие раневого дефекта невозможно из‑за дефицита тканей. При этом для достижения оптимального эстетического результата требуется использование покровов, максимально соответствующих зоне дефекта по цвету, толщине и текстуре. Метод тканевого растяжения позволяет сформировать местные или регионарные лоскуты с сохранённой чувствительностью и хорошим кровоснабжением. Следует чётко разграничивать традиционное постепенное растяжение и быстрое интраоперационное растягивание, которые, несмотря на сходство названия, различаются по физиологическим механизмам и морфологическим последствиям.
Известно, что при длительном растяжении кожи и подкожных структур развиваются выраженные биологические и гистологические изменения, включая усиление митотической активности эпидермиса, ремоделирование дермы и сосудистого русла. В то же время особенности морфологической реакции тканей на кратковременное, но интенсивное интраоперационное растяжение остаются недостаточно изученными, что и послужило основанием для настоящего исследования.
Цель исследования. Оценить состояние эпидермиса, дермы и гиподермы, а также микрорельеф поверхности кожи и волоконный каркас дермы при интраоперационном баллонном растяжении мягких тканей.
Материал и методы. Морфологическое исследование включало световую микроскопию, сканирующую и трансмиссионную электронную микроскопию образцов кожи, подвергнутых интраоперационному растягиванию. Оценивались слоистое строение эпидермиса, состояние межклеточных контактов, организация дермальных волокон, а также изменения сосудистого и жирового компонентов гиподермы. Микрофотографии (рис. 1–7) использованы для иллюстрации выявленных морфологических особенностей.
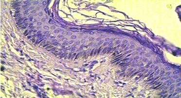
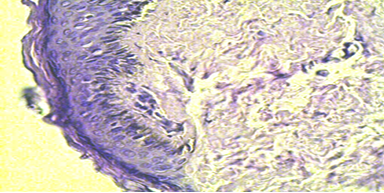
Результаты и обсуждение. Установлено, что в эпидермисе чётко дифференцируются базальный, шиповатый, зернистый и роговой слои, при этом блестящий слой, как правило, не определяется. Зернистый слой представлен 1–2 рядами клеток с гранулами кератогиалина, а роговой слой сохраняет целостность, хотя местами выглядит несколько разрыхленным. После растяжения отмечается сглаживание сосочкового слоя дермы и уменьшение числа рядов клеток шиповатого слоя до 4–5 без нарушения целостности эпидермиса (рис. 1–2).
/Madazimov.files/image001.png)
Рисунок 1. Растяжения. Сглаживание сосочкового слоя дермы, уменьшение числа радов клеток шиповатого слоя. Г-Э 10х40
/Madazimov.files/image002.png)
Рисунок 2. Растяжения. Сглаживание сосочкового слоя дермы, уменьшение числа радов клеток шиповатого слоя. Г-Э 10х40
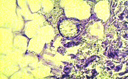
В дерме волокна различной толщины формируют сетчатую структуру, которая после растяжения сохраняет свою архитектонику. Разрывов волокон и повреждений сосудов не выявлено. В гиподерме отмечаются очаговые кровоизлияния среди жировых клеток, однако стенки сосудов остаются интактными (рис. 3–4).
/Madazimov.files/image003.png)
Рисунок 3. Гиподерма. Растяжение. Участки кровоизлияний среди жировых клеток, целостность сосудов не нарушена. Г-Э 10х40
/Madazimov.files/image004.png)
Рисунок 4. Сохранение целостности волокон дермы и микрорельефа поверхности кожи после интраоперационного растяжения. СЭМ х 400
Данные сканирующей электронной микроскопии свидетельствуют о сохранности характерного микрорельефа поверхности кожи с бороздами и гребнями. Волокна дермы представлены переплетающимися нитевидными структурами различной толщины, среди которых располагаются клетки соединительной ткани, преимущественно лимфоциты (рис. 5–6).
/Madazimov.files/image005.png)
Рисунок 5. Микрорельефа поверхности кожи, стержни волос в устье волосяной сумки. СЭМх1000
/Madazimov.files/image006.png)
Рисунок 6. Дерма. Растяжение. Переплетения рыхло располагающихся волокон. СЭМ х 1000
Трансмиссионная электронная микроскопия показала, что базальные кератиноциты сохраняют связь с базальной мембраной посредством полудесмосом, а клетки шиповатого слоя соединены между собой многочисленными десмосомами. Интраоперационное баллонное растяжение не приводит к разрыву межклеточных контактов и не нарушает целостность базальной мембраны (рис. 7).
/Madazimov.files/image007.png)
Рисунок 7. Шиповатый (Ш), зернистый (З), роговой (Р) слои эпидермиса
Растяжение. Сохранение клеточных соединений эпидермиса, разрыхление рогового слоя. ТЭМ. Х 7500.
Заключения. Проведённое морфологическое исследование показало, что интраоперационное баллонное растяжение мягких тканей по разработанной методике не вызывает патологической перестройки кожи. Сохраняются микрорельеф поверхности, слоистая организация эпидермиса и сетчатая структура дермального волоконного каркаса. Полученные данные подтверждают безопасность метода и его целесообразность для использования в реконструктивно‑пластической хирургии при дефиците мягких тканей.
Списоклитературы:
- Мадазимов М.М., Тешабоев М.Г., Мадазимов К.М., и др. Методом интраоперационного баллонного растяжения в хирургической реабилитации больных области свода черепа // American Scientific Journal № 2 (10)-2017. Стр 14-17.
- Наумкина В.В. Медико-психологическая реабилитация обожженных. // Комбустиология на рубеже веков.-М., 2000.- С. 176
- Тешабоев М.Г.//Хирургическое лечение рубцовых деформаций лица// American Scientific Journal № 2 (10)-2017. Стр 17-20
- Madazimov M.M., Teshaboev M.G., Raximov Z.Q. Structural features of face and neck skin in intraoperative cylinder tension// Traditional Medicine and Modern Medicine Vol. 2, No. 4 (2019)165–169
- Pusic A.L., Cordeiro P.G. An accelerated approach to tissue expansion for breast reconstruction: experience with intraoperative and rapid postoperative expansion in 370 reconstruction.s // Plast. Reconstr. Surg. 2003.- Vol. I.- N6.-P. 1871-1875.
- Sasaki G.H. Intraoperative expansion as immediate reconstructive technique. // In: Tissue expansion in reconstructive and aesthetic surgery. St. Louis: Mosby, 1998:248
- Siegert R., Weerda H., Hoffmann S., Mohadjer C. Clinical and experimental evaluation of intermittent intraoperative short-term expansion. // Plast Reconstr Surg. 1993.-Vol.92.-N2.-P.248-54.