д-р мед. наук, зам. дир. по хирургии, КГП на ПХВ «Многопрофильная больница №3 г. Караганды» УЗКО, Республика Казахстан, г. Караганда
КЛИНИЧЕСКИЙ СЛУЧАЙ: ГИГАНТСКАЯ ЦЕЛОМИЧЕСКАЯ КИСТА ПЕРИКАРДА
АННОТАЦИЯ
Кисты перикарда представляют собой редкие доброкачественные образования, локализующиеся в средостении. В большинстве случаев патология носит врожденный характер и выявляется случайно при проведении лучевых методов диагностики. Кисты могут оставаться бессимптомными, однако при увеличении размеров способны вызывать компрессию окружающих структур, что проявляется одышкой, болью в груди и другими клиническими симптомами. В статье описывается клинический случай бессимптомной кисты перикарда большого размера, описание методов её диагностики, хирургического лечения. Особое внимание уделено обсуждению с описанием истории подобных случаев, проявлению симптомов у различных пациентов, описанию рентгенологической картины кист перикарда.
ABSTRACT
Pericardial cysts are rare benign formations localized in the mediastinum. In most cases, the pathology is congenital and is detected accidentally during radiological diagnostic methods. Cysts may remain asymptomatic, but when they increase in size, they can cause compression of surrounding structures, which is manifested by dyspnea, chest pain and other clinical symptoms. The article describes a clinical case of a large asymptomatic pericardial cyst, a description of its diagnostic methods, and surgical treatment. Particular attention is paid to the discussion with a description of the history of such cases, the manifestation of symptoms in various patients, and a description of the radiographic picture of pericardial cysts.
Ключевые слова: киста перикарда, описание случая, врождённые медиастинальные кисты, торакотомия, компьютерная томография, рентгенография.
Keywords: pericardial cyst, case report, congenital mediastinal cysts, thoracotomy, computed tomography, radiography.
Введение
Врожденные аномалии перикарда представляют собой редкую группу заболеваний, которые включают врожденное отсутствие перикарда, перикардиальные кисты и дивертикулы. Данные дефекты возникают в результате изменений в эмбриологическом формировании и структуре перикарда [1].
Кисты перикарда встречаются примерно 1 на каждые 100 000 человек, и одна из 10 кист перикарда на самом деле может быть дивертикулом перикарда. Перикардиальные кисты и дивертикулы имеют схожее происхождение и могут проявляться как случайная находка на рентгенограмме грудной клетки у бессимптомных пациентов [2].
/Shakeev.files/image001.jpg)
Рисунок 1. Обзорная рентгенограмма грудной клетки пациента Ж., тень кисты перикарда указана стрелкой
Представленный ниже клинический случай показывает пример бессимптомной кисты перикарда, диагностированный случайно, во время прохождения обзорной рентгенографии грудной клетки.
Описание случая
Пациент Ж., 50 лет, госпитализирован в плановом порядке в отделение хирургии КГП «Многопрофильной больницы №1» г. Караганды 29.10.2024 в плановом порядке с предварительным диагнозом «Округлое образование нижней доли правого лёгкого? Киста? Опухоль? Туберкулёз?». Больной не предъявлял каких-либо жалоб. Планировалось оперативное лечение в виде миниторакотомии с диагностической целью.
Предоперационные лабораторные исследования не показали каких-либо отклонений от нормы. Информативными были инструментальные исследования. На аксиальных КТ- изображениях грудной клетки и реконструкциях легких в нативном режиме от 07.10.2024: справа в проекции S4-5-8-9 сегментов определяется овальной формы патологическое образование с четкими ровными контурами, однородной структуры, плотностью до 6 ед.Х., размером 19.5х10.5 см.
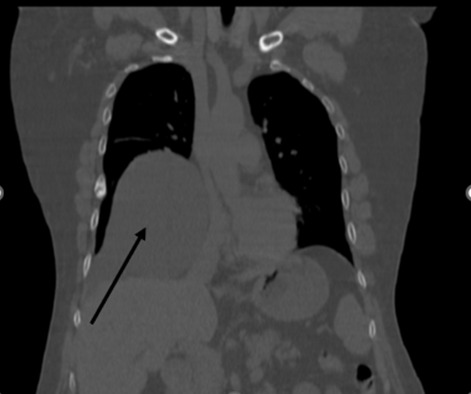
/Shakeev.files/image002.jpg)
Рисунок 2. КТ грудной клетки во фронтальной проекции (киста перикарда указана стрелкой)
Рисунок 3. КТ грудной клетки в аксиальной проекции, срез на уровне 8 ребра (киста перикарда указана стрелкой)
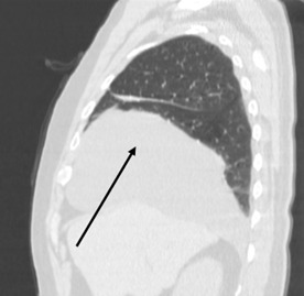
/Shakeev.files/image004.jpg)
Рисунок 4. КТ грудной клетки в сагиттальной проекции (киста перикарда указана стрелкой)
Легочный рисунок деформирован, усилен. ЭКГ от 17.10.2024: ритм синусовый, правильный. Частота сердечных сокращений 78 ударов в минуту. Нормальное положение электрической оси сердца, гипертрофия левого желудочка. Спирография от 18.10.2024: нарушение дыхательной функции легких рестриктивно - обструктивного типа: рестрикция - легкой степени, обструкция проксимального отдела - средней степени. ЭХО КС 17.10.2024 год - Аортосклероз. Дилатация левого предсердия. Незначительная гипертрофия левого желудочка. Диастолическая дисфункция левого желудочка по 1 типу. Эпикардиальная жировая прослойка превышает допустимое значение (8мм). УЗИ ГДЗ 17.10.2024 год - гепатомегалия. Жировой гепатоз печени S-1. Липоматозные изменения поджелудочной железы. Солидное образование брюшной полости без четкой органопренадлежности. Правосторонний гидроторакс.
30.10.2025 выполнена миниторакотомия справа, удаление кисты перикарда. Ход операции: Раздельная интубация. После обработки операционного поля под общей анестезией боковая миниторакотомия в 5 межреберье справа. Пневмоторакс. При ревизии в плевральной полости отмечается напряженная гигантская киста около 20х15 см. в диаметре. Произведена пункция кисты, эвакуировано больше одного литра светлой серозной жидкости. При дальнейшей ревизии отмечается прорастание кисты в передний диафрагмальный синус, перикард. Состояние расценено как идиопатическая киста перикарда. Остро, тупо электрокоагуляцией мобилизована киста, на «ножку» последней наложен зажим, пересечена, перевязана капроном №5 – удаление кисты. При раздувании лёгкое заполняет гемиторакс. Водная проба отрицательная. Контрольный гемостаз. Сухо. В купол плевры установлен дренаж. Послойно швы на рану. Йод. Асептическая повязка. Кровопотеря abs. Макропрепарат: стенка кисты.
/Shakeev.files/image005.jpg)
Рисунок 5. Киста перикарда, продольный размер 20 см.
/Shakeev.files/image006.jpg)
Рисунок 6. Киста перикарда, поперечный размер 12 см.
В послеоперационном периоде производились антибиотикотерапия, анальгетическая терапия, перевязки. Послеоперационный период протекал без осложнений. На 3-и сутки удалён дренаж с плевральной полости. На 6-е сутки после операции пациент выписан в удовлетворительном состоянии с диагнозом: «целомическая киста перикарда».
Гистологическое заключение от 05.11.2024: макро: участок ткани 20х12х0,2 см белесоватого цвета в виде стенки кисты, с крупными кровоизлияниями и участками жировой ткани. Микро: Представлена киста с соединительнотканной стенкой, выстланной уплощенным эпителием. Отмечаются крупные скопления эритроцитов. Заключение: Стенка кисты с кровоизлияниями.
Пациенту рекомендованы контрольные рентген, КТ грудной клетки, УЗИ плевральной полости.
Обсуждение
Предварительные сообщения о кистах перикарда относятся к середине 19 века, когда патологоанатомы впервые столкнулись с такими случаями при вскрытии. Достижения в области рентгенографии сделали возможной прижизненную диагностику. Ле Ру и соавторами сообщалось о трех случаях у 300 000 человек в ходе массовой рентгенографии грудной клетки в Эдинбурге в 1958 году. Прогресс в области торакальной хирургии открыл новую эру в лечении этих поражений, и Отто Пикхардт с соавторами из больницы Ленокс Хилл провели первую резекцию кисты перикарда в Нью-Йорке в 1931 году у 53-летней женщины. Первое сообщение о случаях возникновения дивертикулов перикарда было представлено Т. Хартом из медицинской школы Парк-стрит в Дублине в 1837 году. В последствии была предложена новая концепция происхождения кист и дивертикулов перикарда, согласно которой кисты и дивертикулы перикарда представляют собой различные стадии развития с общим эмбриональным происхождением.
Термин "родниковые кисты" был введен из-за наличия тонкой прозрачной стенки кисты и кристально чистой жидкости внутри кисты перикарда. Хирургический подход к перикардиальным кистам и дивертикулам претерпел ряд усовершенствований в связи с современным подходом к диагностике и лечению, основанным на фактических данных. В настоящее время видеоторакоскопическая хирургия считается наиболее перспективным методом диагностики и лечения этих поражений.
Хронология ключевых событий, описывающих кисты перикарда:
-1837 год Т. Харт из медицинской школы Парк-стрит в Дублине описал первый случай обнаружения дивертикула перикарда при аутопсии.
-В 1903 году Рон из Карлова университета в Праге впервые опубликовал серию случаев, включающую четыре дивертикула и одну кисту, основанную на результатах вскрытия этих образований. Взаимосвязь между дивертикулом перикарда и кистой, имеющей общее эмбриональное происхождение, была впервые выявлена в этой серии случаев.
-1931 Уоллес Ятер (Джорджтаунский университет) подробно описал рентгенологические проявления и дифференциальную диагностику перикардиальных кист.
-В 1931 году Отто Пикхардт в больнице Ленокс Хилл в Нью-Йорке провел первое хирургическое удаление перикардиальной кисты.
-В 1937 году первая пневмограмма кисты перикарда была выполнена Э. Х. Кушингом.
-В 1940 году Адриан Ламберт впервые предположил сходное эмбриологическое происхождение перикардиальной кисты и дивертикулов из разобщенных мезенхимальных лакун, которые позже объединяются, образуя перикардиальный целом.
-1943 - Первая резекция дивертикула перикарда Ричардом Суитом в Массачусетской больнице общего профиля в Бостоне.
-В 1943 году Гринфилд и его коллеги ввели термин "родниковая киста".
-В 1958 году Ле Ру сообщил о трех случаях перикардиальных кист у 300 000 человек в ходе массовой рентгенологической кампании в Эдинбурге [2].
Более двух третей кист перикарда локализуются в правом кардиодиафрагмальном углу и менее одной трети - в левом кардиодиафрагмальном углу [3].
Клиническая картина симптомных перикардиальных кист различна. Общими симптомами являются боль в груди, кашель, одышка и нарушения сердечного ритма. Сообщалось о некоторых серьезных осложнениях, включая внезапную смерть, разрыв кисты, фибрилляцию предсердий и перикардит, у пациентов с большими кистами перикарда или с кистами необычной локализации.
Наиболее распространенным рентгенологическим проявлением кист перикарда является четко очерченное, одно- или многоочаговое образование круглой или овальной формы с гладкими стенками и диаметром от 1 до 5 см. Однако диагностика кист перикарда может быть особенно сложной и из-за их редкости ещё больше усложняется. Кроме того, когда поражение обширное и затрагивает структуры средостения и грудной клетки, атипичная картина еще больше усложняет диагностику [4].
Диагноз обычно ставится на основании случайного проведения рентгенографии грудной клетки; другими диагностическими методами являются трансторакальная эхокардиография, компьютерная томография (КТ) и магнитно-резонансная томография (МРТ). На компьютерной томографии кисты наблюдаются в виде овальных образований с тонкими и четко очерченными стенками, без усиления при введении контрастного вещества. При проведении МРТ жидкость, содержащаяся в кисте, дает гиперинтенсивное изображение в режиме Т2 и гипоинтенсивное в режиме Т1 без усиления с помощью гадолиния. Эхокардиограмма полезна для функциональной оценки сердца и последующего наблюдения, но имеет серьезные ограничения в диагностике. Это связано с тем, что наиболее частой локализацией является правая сторона, где изображение, полученное с помощью эхокардиографии, ограничено. Американское общество эхокардиографии рекомендует проводить компьютерную томографию или МРТ для подтверждения диагноза кисты перикарда при обнаружении с помощью эхокардиографии, а также для последующего наблюдения каждые 1 или 2 года [5].
В нашем случае пациент не предъявлял каких-либо жалоб, ни со стороны дыхательной системы, ни со стороны сердечно-сосудистой системы. Подозрение на кисту возникло при прохождении рутинной обзорной рентгенографии грудной клетки, что послужило отправной точкой в истории его болезни. В дальнейшем использовался золотой стандарт диагностики кист перикарда – компьютерная томография грудной клетки. Однако, даже это не позволило поставить точный диагноз, в связи с чем было произведено оперативное вмешательство с диагностической целью. Выбор пал на миниторакотомию в связи с размерами образования: 19.5х10.5 см по данным КТ. Фактический же размер образования составил 20.0х14.0 см, а объём – один литр. Оперативное вмешательство выполнено без особых технических трудностей, время операции составило – 95 минут. Интраоперационно заключительный диагноз не вызывал сомнений, а гистологическое исследование препарата подтвердило его.
Заключение
Таким образом, кисты перикарда – весьма редкая патология. Большинство пациентов бессимптомны, либо имеют разную симптоматику в зависимости от размера, локализации кисты и сопутствующих осложнений. Чаще всего это случайная находка у пациента без какой-либо симптоматики, обнаруженная при прохождении флюорографии/рентгенографии грудной клетки. Кисты перикарда могут быть выявлены при РГ ОГК, ЭхоКГ, РКТ и МРТ. При причинении дискомфорта пациенту, снижении качества его жизни, а также и с диагностической целью перикардиальные кисты подлежат хирургическому лечению.
Список литературы:
- Целомическая киста перикарда. Случай из клинической практики / Е. М. Сурмач, С. Н. Демидик, B. А. Фролов, А. Л. Беляева // Журнал Гродненского государственного медицинского университета. 2022. Т. 20, № 3. C. 348-354.
- Kar SK, Ganguly T. Current concepts of diagnosis and management of pericardial cysts.// Indian Heart J. 2017 May-Jun; 69(3):364-370.
- Mathias Eg Lomborg, Yongzhong Wang, Rasmus Rolf Albiniussen, Frank-Peter Elpert. A Large Pericardial Cyst in the Left Cardiophrenic Causing Persistent Chest Pain and Cough.// A Case Report. Am J Case Rep, 2022; 23.
- Li M, Yang C, Li J, Jia D, Wang Y, Xie W, Wang J. A large pericardial cyst mimicking a unilateral pleural effusion: A case report.// Medicine (Baltimore). 2023 Apr 14;102(15).
- Quiste pericárdico gigante asintomático. Héctor A. Carmona-Ruiz, Óscar Orihuela-Rodríguez, y Ian Morales-Gudiño.// Cirugía y Cirujanos. 2021;89(S2), p.68-71.