канд. мед. наук, врач-ревматолог Международного медицинского центра «Медикал Он Груп», РФ, г. Новосибирск
ОТДАЛЕННЫЕ РЕЗУЛЬТАТЫ ЛЕЧЕНИЯ ХРОНИЧЕСКОЙ БОЛИ ПЛЕЧЕВОГО ПОЯСА С ПРИМЕНЕНИЕМ ПРЕПАРАТОВ НА ОСНОВЕ ПОЛИНУКЛЕОТИДОВ И КОЛЛАГЕНА
АННОТАЦИЯ
Цель исследования: оценить эффективность терапии, её долгосрочный эффект и безопасность внутрисуставного и периартикулярного введения препаратов на основе полинуклеотидов и коллагена у пациентов с хронической болью плечевого пояса с клиническими рефлекторными, рефлекторно-компрессионными проявлениями и изменениями в ортопедическом статусе.
Материал и методы: в проспективное многоцентровое продольное 6-месячное исследование было включено 100 пациентов мужчин и женщин (средний возраст 45 лет). Пациенты были разделены на 4 группы по 25 человек в каждой группе в зависимости от диагноза. Группы пациентов и используемая терапия (внутрисуставного и периартикулярного введения препаратов на основе полинуклеотидов и коллагена) определялись диагнозом и наличием воспалительных явлений в суставе. До и после лечения проводили оценку функционального состояния плеча и выраженности боли с помощью опросников, лабораторных и инструментальных исследований. Эффективность оценивали по снижению боли, улучшению функциональной активности плечевого сустава и изменению объема движений в плечевом суставе и в шейном отделе позвоночника. После проведения первичной терапии, пациентам было предложено пройти контрольное обследование через 3 и 6 месяцев после начала лечения.
Результатом данного исследования подтверждение эффективности введения препаратов на основе полинуклеотидов и коллагена в лечении хронической боли плечевого пояса. После лечения с использованием данных препаратов у пациентов отмечено снижение болевых ощущений, улучшение функциональной активности и восстановление поврежденных тканей, уменьшение уровней С-реактивного белка и скорости оседания эритроцитов, улучшение качества жизни. Побочных эффектов не выявили.
ABSTRACT
The aim of the study was to evaluate the effectiveness of therapy, its long-term effect and the safety of intraarticular and periarticular administration of drugs based on polynucleotides and collagen in patients with chronic shoulder girdle pain with clinical reflex, reflex compression manifestations and changes in orthopedic status.
Material and methods: 100 male and female patients (average age 45 years) were included in a prospective multicenter longitudinal 6-month study. The patients were divided into 4 groups of 25 people in each group, depending on the diagnosis. The patient groups and the therapy used (intraarticular and periarticular administration of drugs based on polynucleotides and collagen) were determined by the diagnosis and the presence of inflammatory phenomena in the joint. Before and after treatment, the functional state of the shoulder and the severity of pain were assessed using questionnaires, laboratory and instrumental studies. The effectiveness was assessed by reducing pain, improving the functional activity of the shoulder joint and changing the volume of movements in the shoulder joint and in the cervical spine. After the initial therapy, patients were asked to undergo a follow-up examination 3 and 6 months after the start of treatment.
The result of this study is confirmation of the effectiveness of the administration of drugs based on polynucleotides and collagen in the treatment of chronic shoulder pain. After treatment with these drugs, patients experienced a decrease in pain, improved functional activity and restoration of damaged tissues, decreased levels of C-reactive protein and erythrocyte sedimentation rate, and improved quality of life. No side effects were detected.
Ключевые слова: верхний плечевой пояс, хроническая боль, полинуклеотиды, коллаген, внутрисуставное введение, периартикулярное введение, качество жизни.
Keywords: upper shoulder girdle, chronic pain, polynucleotides, collagen, intraarticular injection, periarticular injection, quality of life.
Введение
Патология плечевого пояса – это обширная группа заболеваний, поражающих сложную анатомическую структуру, включающую ключицу, лопатку, плечевую кость, а также множество мышц, связок и суставов – плечевой, акромиально-ключичный, грудино-ключичный и подлопаточный. Ее распространенность обусловлена высокой функциональной нагрузкой на плечо, которую испытывают люди в повседневной жизни, спорте и профессиональной деятельности [1,2].
Патологии плечевого пояса наблюдаются у 3-5% общей популяции, а среди пациентов с сахарным диабетом эта цифра возрастает до 20%. Чаще всего данная патология диагностируется у людей в возрасте от 50 до 70 лет, причем женщины страдают от нее значительно чаще, чем мужчины, с соотношением 3:1-5:1 [3,4].
Возникновение патологии может быть связано с многочисленными факторами, действующими как изолированно, так и в комплексе.
Травматические повреждения, такие как вывихи плеча, переломы ключицы или плечевой кости, разрывы вращательной манжеты, являются частой причиной патологии. Механизм травмы может быть прямым (удар в плечо) или непрямым (падение на вытянутую руку). В зависимости от силы воздействия и локализации травмы, симптоматика варьируется от незначительной боли до выраженного болевого шока и полной потери функции конечности[5]. Диагностика травматических повреждений часто включает в себя рентгенографию, МРТ или КТ для выявления переломов, вывихов и повреждений мягких тканей.
Перегрузка мышц и связок, например, у спортсменов, людей, выполняющих монотонную работу с поднятием тяжестей, или у лиц с неправильной осанкой, приводит к развитию тендинитов (воспаление сухожилий), бурситов (воспаление суставных сумок), синдрома импиджмента (сужение под акромиальным пространством), эпикондилитов (воспаление надмыщелков плечевой кости) и других заболеваний [6]. Эти состояния характеризуются постепенным нарастанием боли, ограничением подвижности и, в запущенных случаях, атрофией мышц. Диагностика основывается на клинической картине, исследовании биомеханики движения и, при необходимости, УЗИ или МРТ.
Дегенеративные изменения, связанные с возрастными процессами, также являются частой причиной патологии плечевого пояса. Остеоартрит, остеохондроз, разрыв ротаторной манжеты, вызванный дегенеративными изменениями в сухожилиях, приводят к хронической боли, снижению амплитуды движений и ограничению функциональности. Лечение дегенеративных заболеваний обычно носит консервативный характер и включает в себя физиотерапию, медикаментозную терапию (НПВП, хондропротекторы), инъекции кортикостероидов и, в крайних случаях, хирургическое вмешательство.
В процессе диагностики специалист (травматолог, ревматолог, невролог) должен учитывать характер боли (острая, хроническая, постоянная, приступообразная), ее локализацию, иррадиацию (распространение боли вдоль руки, в шею, спину), факторы, провоцирующие боль (движения, нагрузка, положение тела), а также сопутствующие симптомы (отечность, покраснение, ограничение подвижности, онемение, слабость мышц). Важным аспектом является дифференциальная диагностика, отделяющая патологию мягких тканей от заболеваний суставов. Например, тендинит может имитировать симптомы артрита, а синдром импиджмента – разрыв вращательной манжеты.
Кроме того, необходимо определить тип боли – ноцицептивную (возникающую в результате раздражения ноцицепторов – болевых рецепторов) или нейропатическую (связанную с повреждением нервных волокон). Ноцицептивная боль обычно хорошо купируется анальгетиками, в то время как нейропатическая боль часто требует более сложного подхода к лечению, включая назначение антидепрессантов или противоэпилептических препаратов.
Программа обследования пациента с патологией плечевого пояса включает:
1. Сбор анамнеза: детальное выяснение жалоб пациента, истории заболевания (травмы, предыдущие заболевания), профессиональной деятельности, вида физической активности.
2. Физикальное обследование: оценка внешнего вида плечевого сустава (отечность, покраснение), пальпация (определение болезненных зон), оценка объема пассивных и активных движений в плечевом суставе, исследование мышечной силы, неврологический осмотр (чувствительность, рефлексы).
3. Инструментальные методы исследования: рентгенография (для выявления переломов, артрита, остеоартроза), УЗИ (для оценки мягких тканей, тендинитов, бурситов), МРТ (для детальной визуализации всех структур плечевого пояса, включая сухожилия, связки, мышцы, нервы), КТ (при необходимости более детальной оценки костной ткани), ЭМГ может использоваться для подтверждения диагноза или определения степени поражения мышц.
Лабораторная диагностика играет вспомогательную, но важную роль в выявлении сопутствующих заболеваний или системных патологий, которые могут провоцировать или усугублять боль в плечевом поясе. Общий анализ крови и мочи позволяет оценить общее состояние организма, выявить признаки воспаления (лейкоцитоз, увеличение СОЭ) или инфекционный процесс. Анализ на С-реактивный белок (СРБ) – высокочувствительный маркёр воспаления, повышение его уровня указывает на активный воспалительный процесс, например, для бурсита, тендинита или артрита плечевого сустава. Определение ревматоидного фактора (РФ) необходимо для исключения ревматоидного артрита, аутоиммунного заболевания, часто поражающего суставы, включая плечевой. Уровень мочевой кислоты помогает исключить подагрический артрит, которая также может проявляться болями в суставах. Важно отметить, что лабораторные показатели сами по себе не ставят диагноз, а лишь предоставляют дополнительную информацию для комплексной оценки состояния пациента.
Лечение патологии плечевого пояса может быть консервативным или хирургическим. Консервативное лечение включает: покой, иммобилизацию (при необходимости), холод на воспаленную область, физиотерапию (УВЧ, магнитотерапия, лазеротерапия, ультразвуковая терапия, электрофорез), лечебную физкультуру (ЛФК), массаж, ударно-волновую терапию (УВТ), медикаментозную терапию (нестероидные противовоспалительные препараты – НПВП, анальгетики, миорелаксанты, хондропротекторы). Хирургическое лечение показано при неэффективности консервативной терапии, выраженных повреждениях, например, разрыве вращательной манжеты, вывихах, которые не поддаются консервативной коррекции. Это может быть репарация (восстановление) поврежденных суставных структур, аугментация (усиление) мышц-стабилизаторов или реконструкция капюшона плеча. После операции следует провести реабилитационный период для восстановления функциональности плеча и предотвращения возможного рецидива патологии. Реабилитация должна начинаться немедленно после операции с активными двигательными упражнениями под контролем специалиста [7,8].
Ранняя диагностика и адекватное лечение патологии плечевого пояса позволяют предотвратить развитие хронических заболеваний, ограничение функциональности конечности и улучшить качество жизни пациента.
Эффективное лечение и реабилитация при заболеваниях плечевого пояса имеют решающее значение для восстановления функциональности плеча и снижения болевых ощущений. Подход к терапии должен учитывать индивидуальные характеристики каждого пациента.
Основная цель профилактики болезней верхнего плечевого пояса состоит в том, чтобы избежать их возникновения и прогрессирования. Для достижения этой цели требуется комплексный метод, который включает физическую активность, правильную организацию труда и отдыха, настройку рабочего места, ограничение физических нагрузок, сбалансированное питание, отказ от вредных привычек и регулярные профилактические осмотры.
Актуальность этой темы обусловлена широким распространением заболеваний и их негативным влиянием на качество жизни пациентов. Продолжение исследований данной патологии позволит усовершенствовать диагностику, выбрать более эффективные методы лечения и реабилитации, а также предотвратить развитие осложнений у людей, столкнувшихся с этими проблемами.
Цель исследования ˗ оценить эффективность терапии, её долгосрочный эффект и безопасность внутрисуставного и периартикулярного введения препаратов на основе полинуклеотидов и коллагена у пациентов с хронической болью плечевого пояса с клиническими рефлекторными, рефлекторно-компрессионными проявлениями и изменениями в ортопедическом статусе.
Материал и методы
В проспективное многоцентровое продольное исследование продолжительностью 6 месяцев вошли 100 пациентов, мужчин и женщин. Исследование было выполнено с соблюдением этических норм, установленных Хельсинкской декларацией Всемирной медицинской ассоциации (редакция 2000 года, уточнения 2004 года, Токио), стандартов Качественной Клинической Практики Международной Конференции по Гармонизации (ICH GCP), а также руководящих принципов, изложенных в Директиве Европейского союза 2001/20/ЕС и законодательства РФ. Все участники подписали информированное согласие на участие.
Критерии включения в исследование: возраст от 18 до 70 лет; наличие симптомов более 3 месяцев; наличие рентгенографического исследования; отсутствие признаков полного разрыва вращательной манжеты по данным УЗИ/МРТ; диагностика шейного спондилоартроза; для группы с брахиалгией, периартритом и адгезивным капсулитом — определенные клинические критерии, включая потерю подвижности плеча более 30%. Исключались пациенты с секвестрированными грыжами, травмами шейного отдела и системными заболеваниями.
Пациенты были распределены на 4 группы по 25 человек в зависимости от диагноза, а направление терапии зависело от диагноза и наличия воспалительных процессов в суставах.
1 группа. Диагноз: шейный спондилоартроз, унковертебральный артроз, спондилез с клиническими рефлекторными, рефлекторно-компрессионными проявлениями, изменениями в ортопедическом статусе без воспалительного процесса. Схема терапии: периартикулярное введение импланта коллаген-содержащего паравертебрально в ШОП по 1-2 мл в триггерную точку (всего 10 мл) №3 с интервалом 10 дней. Курс: 30 дней (трёхкратное локальное введение).
2 группа. Диагноз: импиджмент-синдром без воспалительного процесса. Схема терапии: периартикулярное введение импланта коллаген-содержащего однократно (надостная мышца, подостная мышца, субакромиальное введение, круглая связка плеча, проксимальная порция двуглавой мышцы плеча по 2мл (всего 10 мл) №3 с интервалом 10 дней. Курс: 30 дней (трёхкратное локальное введение).
3 группа. Диагноз: импиджмент-синдром при наличии воспалительного процесса. Схема терапии: внутрисуставное введение геля на основе 2% раствора полинуклеотидов однократно (надостная мышца, подостная мышца, субакромиальное введение, круглая связка плеча, проксимальная порция двуглавой мышцы плеча по 2 мл) + периартикулярно по 1-2мл (всего 10 мл) №3 с интервалом 10 дней. Курс лечения 30 дней (трёхкратное локальное введение). Также пациентам осуществлялось внутрисуставное введение имплантата инъекционного в виде геля на основе полинуклеотидов по 2 мл трехкратно с интервалом 10 дней между введениями. Введение препаратов осуществлялось под контролем УЗИ.
4 группа. Диагноз: адгезивный капсулит с явлениями синовита. Схема терапии: субакромиальное или внутрисуставное введение в плечевой сустав геля на основе 2% полинуклеотидов 2 мл трехкратно с интервалом 10 дней между введениями при использовании УЗИ-навигации.
Выполнены следующие исследования: клиническое обследование с оценкой болевого синдрома, измерение объема движений в плечевом суставе, диагностические тесты на импиджмент-синдром (тест отрыва Gerber, тест надостной мышцы, симптом падающей руки, симптом импиджмента Neer, средняя болезненная дуга), оценка боли по опроснику по боли «pain detect», оценка качества жизни при помощи опросника SF-36.
Для оценки функции суставов и выраженности боли использовались:
Шкала Константа (Constant Shoulder Score, CS) считается эталоном для оценки функционирования плечевого сустава. Она включает как объективные, так и субъективные аспекты, разбитые на категории, такие как боль (максимально 15 баллов), повседневная активность (максимум 20 баллов), диапазон движений (максимум 40 баллов) и сила мышцы руки (максимум 25 баллов). Более высокий балл свидетельствует о лучшем функционировании плеча, где минимальный результат – 0, а максимальный – 100.
Шкала плеча UCLA (The University of California – Los Angeles Shoulder Scale) основывается на оценках боли (от 1 до 10) и функциональных способностей (также от 1 до 10). Кроме того, оценка переднего активного сгибания и силы сгибания варьируется от 0 до 5 баллов, а удовлетворенность пациента – от 0 до 5 баллов. Доктор или физиотерапевт выставляют оценки силы и диапазона движений, в то время как остальные параметры пациент оценивает самостоятельно. Максимальный результат составляет 35 баллов; выше 27 считается хорошим, ниже – плохим.
Простой тест на плечо (Simple Shoulder Test, SST) разработан для определения функционального состояния поврежденного плеча. Он включает 12 вопросов с ответами «да» или «нет», касающихся функциональности плеча и типов физической активности.
Опросник «Pain Detect» оценивает все параметры боли и позволяет отслеживать изменения болевого синдрома. Наличие 19 и более баллов указывает на выраженный невропатический компонент.
Оценочный опросник состояния плеча, разработанный Американскими хирургами плечевого и локтевого суставов (ASES Shoulder Outcome Score, SSI-ASES), включает как самооценку пациента, так и оценку врачом. Самооценка делится на три категории: оценка боли (1), нестабильности (2) и повседневной активности (3). Вопросник включает 10 вопросов с 4-бальной системой оценивания (от 0 до 3), с максимальным количеством баллов - 30. Результаты преобразуются в 100-балльную шкалу по формуле: SSI = (10 – [баллы по шкале боли]) × 5 + (5/3 × [общие баллы по повседневной активности]). Высший балл отражает лучшие результаты.
Визуальная аналоговая шкала боли (ВАШ) — это 10-сантиметровая линия, где начало обозначает отсутствие боли, а конец — невыносимую боль. Пациент отмечает свою боль на шкале, и расстояние до начала измеряется в сантиметрах, где каждый сантиметр соответствует 1 баллу.
Опросник SF-36 для оценки состояния здоровья. SF-36 является надежным инструментом, предназначенным для оценки как физического, так и эмоционального состояния, а также социальной активности. Он включает 36 вопросов, которые формируют восемь шкал: физические функции, физическая роль, уровень боли, общее состояние здоровья, жизненная энергия, социальная функция, психическая роль и психическое здоровье. Каждый вопрос содержит несколько вариантов ответов, которые оцениваются на шкале от 0 до 100, где более высокие значения свидетельствуют о лучшем качестве жизни. Применение опросника SF-36 позволяет объективно оценить качество жизни пациентов с заболеваниями плечевого пояса, выявляя наличие и степень ограничений и трудностей в их ежедневной жизни. Результаты опросника могут быть использованы не только для анализа эффективности лечения, но и для разработки и адаптации реабилитационных программ [9,10].
Использовались также объективные методы обследования, такие как гониометрия, а также инструментальные методы (рентгенография, УЗИ и МРТ) для исключения повреждений вращательной манжеты, связок, суставной капсулы, полости сустава, мышц и сухожилий. ЭМГ верхних конечностей проводилась для исключения компрессионных радикулопатий.
Оценка функционального состояния плеча и уровня болевых ощущений проводилась с помощью анкет, а также выполнялись лабораторные исследования (клинический и биохимический анализы крови) и инструментальная диагностика до и после терапевтических мероприятий. Для анализа эффективности лечения использовалось несколько параметров: уменьшение болевых ощущений, повышение функциональной активности плечевого сустава и изменения объема движений в плечевом суставе и в области шейного отдела позвоночника.
Собранные данные были обработаны с применением программного обеспечения SPSS, и использовались стандартные статистические методы анализа.
Количественные показатели отображены через центральные тенденции и разброс: среднее (М) и стандартное отклонение (s) для признаков с приближенно нормальным распределением, медиана (Me) и интерквартильный размах (25-й и 75-й процентили) для распределений, отличающихся от нормального.
Для анализа взаимосвязи двух количественных переменных был использован непараметрический метод Спирмена. Коэффициент корреляции варьируется от –1 до 1, где крайние значения указывают на линейную зависимость, а нуль свидетельствует об отсутствии связи. Условная градация силы корреляции основана на значении коэффициента корреляции r: |r| ≤ 0,25 — слабая корреляция; 0,25 < |r| < 0,75 — умеренная корреляция; |r| ≥ 0,75 — сильная корреляция. Знак (+ или –) при статистическом коэффициенте указывает на направление связи. Отрицательный коэффициент означает обратную корреляцию, тогда как положительный сигнализирует о прямой связи. Сравнение двух коэффициентов проводилось через тестирование гипотез о их равенстве, при выбранном уровне значимости 5% (0,05), что является стандартом в медицинских и биологических исследованиях.
Результаты и обсуждение
Средний возраст участников исследования составил 45 лет, при этом возрасты варьировались от 30 до 60 лет. В группе пациентов 79% составляли женщины, а 21% — мужчины. Средняя длительность болевого синдрома и ограничений в движениях составила 3,2±1,8 месяца (промежуток от 1,5 до 9,2 месяцев).
Результаты исследования подтвердили, что применение тропоколлагена и полинуклеотидов для лечения заболеваний верхнего плечевого пояса может быть действенным подходом. Тропоколлаген способствует восстановлению повреждённых тканей и активизирует процесс синтеза коллагена, что содействует восстановлению функций сустава. Полинуклеотиды обладают противовоспалительным и иммуномодулирующим эффектом, что помогает снизить уровень воспаления и болевые ощущения.
Во время исследования большинство участников отметили улучшение функционирования плеча, уменьшение боли и быстрое восстановление. Применение тропоколлагена и полинуклеотидов при заболеваниях плечевого пояса значительно улучшает диапазон движений, как в шейном отделе, так и в плечевых суставах (p < 0,05), (рис.1).
/Scherbakov.files/image001.png)
Рисунок 1. Оценка объема движений ШОП (группа 1) и в плечевом суставе (группы 2, 3, 4) до и после лечения, через 3-6 месяцев после лечения (°)
Одним из ключевых выводов применения тропоколлагена и полинуклеотидов при заболеваниях верхнего плечевого пояса является заметное снижение болевых ощущений. Это связано с их способностью активировать процессы восстановления тканей и уменьшать воспалительные реакции в области плеча. Спустя 3-6 месяцев после начала терапии не наблюдалось увеличения болевого синдрома или повторного возникновения ограничений в подвижности плечевого сустава.
Средний уровень болевого синдрома, измеряемый по визуальной аналоговой шкале (ВАШ), снизился на 40 мм. В группе, получавшей комбинацию данных препаратов, отмечено уменьшение болевого синдрома на 60 мм, что свидетельствует о значительной анальгетической эффективности проведенной терапии (рис.2).
/Scherbakov.files/image002.png)
Рисунок 2. Оценка боли по ВАШ до и после лечения, через 3-6 месяцев после лечения (мм)
В ходе исследования было обнаружено значительное улучшение показателей скорости оседания эритроцитов (СОЭ) у пациентов после курса лечения. Наблюдалось статистически значимое снижение уровня СОЭ и СРБ (табл.1).
Таблица 1.
Динамика показателей СОЭ и СРБ до и после лечения, через 3-6 месяцев после лечения
|
Группа |
СОЭ, мм/час Ме [25;75] |
СРБ, мг/л Ме [25;75] |
||||
|
До лечения |
После лечения |
Через 3-6 мес. |
До лечения |
После лечения |
Через 3-6 мес. |
|
|
1 |
12[10;19] |
8 [6,12] * |
7 [6,12] |
4[2;6] |
2[1;4,5] * |
2[1;4] |
|
2 |
11[9;12] |
5 [2;9] * |
5 [2;9] |
4[2,5;7] |
4[2;4,5] * |
5[2;6] |
|
3 |
16[12;19] |
4 [3;9] * |
4 [3;9] |
6[2;7,5] |
4,5[2;4,3] * |
4[2;5] |
|
4 |
16[11;19] |
7 [3;12] * |
5 [3;10] |
6[3;6,1] |
3[1;3,9] * |
3[1;4] |
Примечания. * — p< 0,05.
Note. ESR, erythrocyte sedimentation rate; CRP, C-reactive protein; *, p<0.05.
Высокую эффективность терапии препаратами коллагена для внутрисуставного и периартикулярного введения и геля на основе полинуклеотидов подтверждено результатом УЗИ исследованием и МРТ (рис.3, 4,5).
/Scherbakov.files/image003.jpg)
А B
A — до лечения В — после лечения.
Стрелками обозначено количества синовиальной жидкости в полости сустава. Наблюдается уменьшение количества жидкости после проведенной терапии за счет уменьшения воспаления.
Рисунок 3. Изменение количества жидкости в сумке сустава при исследовании в В-режиме, Long Axis
/Scherbakov.files/1.png)
A — до лечения: сухожилие утолщено (до 0,8 см), умеренно неоднородной структуры, сниженной эхогенности; В — после лечения: через 2 мес. после окончания лечения: отмечается уменьшение толщины сухожилия (до 0,6 см), структура прежняя, эхогенность умеренно повышена.
Рисунок 4. Сухожилие надостной мышцы в В-режиме, Long Axis
/Scherbakov.files/2.png)
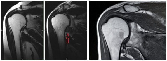
А ˗ до лечения В – после лечения
А – до лечения: у пациента с адгезивным капсулитом определяется утолщение капсулы и уменьшение объема подмышечного заворота.
Основные проявления: боль и прогрессирующее снижение объема движений в плечевом суставе. В ˗ после лечения: у пациента восстановление капсулы и увеличение объема подмышечного заворота.
Отсутствие болевого синдрома и увеличение объема движений в плечевом суставе.
Рисунок 5. МРТ картина адгезивного капсулита до и после лечения
Результаты оценки значений SF36 у пациентов с патологией плечевого пояса после лечения предоставляют ценную информацию о влиянии терапии на качество их жизни. Исследование показало, что пациенты, получившие лечение, имели значительное улучшение значений многих показателей SF36.
В первую очередь, ожидаемо наблюдалось улучшение показателя физического функционирования. Лечение способствовало восстановлению двигательных функций плеча и повышению силы руки, что позволяло пациентам вести активный образ жизни и выполнять повседневные задачи с меньшими ограничениями. Улучшение физического состояния значительно влияло на возможности пациентов, позволяя им участвовать в спортивных активностях и преодолевать препятствия, которые ранее были для них трудно преодолимы.
Значимый рост значения показателя общего здоровья был также отмечен после лечения. Пациенты сообщали о снижении интенсивности боли, улучшении настроения и общего самочувствия. Это свидетельствует о том, что лечение патологии плечевого пояса не только приводит к физическому выздоровлению, но и влияет на общую жизненную энергию и настроение пациентов.
Показатель ролевых физических функций также значительно повышался после лечения. Пациенты могли снова возвращаться к своей повседневной активности, работать и заниматься любимыми хобби. Это позволяло им чувствовать себя полезными и востребованными, избегая страданий социальной изоляции.
Улучшение значений показателя общей физической роли подтверждало эффективность лечения в восстановлении утраченной профессиональной активности пациентов. После терапии они снова могли заниматься своей работой, не ощущая дискомфорта и боли.
Однако, стоит отметить, что показатель психического здоровья тенденционно улучшался, но менее выражено по сравнению с другими показателями SF36. Вероятно, это связано с тем, что пациенты могут ощущать эмоциональное напряжение и тревогу в связи со своим состоянием здоровья и переживаниями, связанными с ограничениями в повседневной жизни. Однако, терапия плечевого пояса также может влиять на психическое благополучие, т.к. уменьшение боли и восстановление двигательных функций могут способствовать снижению тревоги и депрессии у пациентов.
Выводы, сделанные на основе описанных значений SF36, имеют практическое значение для оценки эффективности лечения плечевого пояса. Улучшение физических показателей, таких как физическое функционирование, общее здоровье, ролевые физические функции и общая физическая роль, свидетельствуют о возможности восстановления двигательных функций и возвращении пациентов к активной жизни и работе. Улучшение психического здоровья, хоть и менее значительно, подтверждает важность психологической поддержки и оздоровительного процесса в патологии плечевого пояса. Все эти выводы могут быть применены в клинической практике и помогут врачам и пациентам принимать обоснованные решения о лечении и оценивать его результаты.
В проведенном нами исследовании выбор препаратов и дозы были обусловлены индивидуальным назначением для каждого пациента. Критерием выбора той или иной схемы из четырех вариантов являлось количественное вовлечение мышц и связок в патологический процесс и их состояние (гипотония мышц, отсутствие или наличии гипотрофии связок, отечность и болезненность периартикулярных тканей, отсутствие или наличие контрактур, степень их выраженности), наличие признаков воспалительного процесса, выявленных в результате осмотра пациента, данные, полученные при оценке ортопедического статуса и УЗИ.
Результаты нашего исследования не противоречат данным литературы: ранее было показано в клинических исследованиях, что инъекции препаратов на основе полинуклеотидов демонстрировали хорошую переносимость и эффективность [11,12].
Одним из ключевых аспектов реабилитационной программы для пациента является внимательный выбор оптимальных методов лечения с учетом индивидуальных характеристик каждого пациента. Например, использование тропоколлагена способствует восстановлению поврежденных тканей и активирует процесс синтеза коллагена, что положительно сказывается на восстановлении функций суставов. Полинуклеотиды имеют противовоспалительные и регенерирующие свойства, что помогает уменьшить воспаление и ослабить болевые ощущения. Применение полинуклеотидов при лечении болезней плеча, сопровождающихся выраженным воспалением, может значительно улучшить функциональное состояние плечевого сустава, облегчить боль и ускорить процесс восстановления [13]. Положительные изменения фиксируются не только во время осмотра пациента, но и в динамике лабораторных показателей. Лечебные протоколы должны быть адаптивными и изменяться в соответствии с потребностями каждого пациента. При значительных улучшениях или появлении новых ограничений требуется пересмотреть подходы и скорректировать их в зависимости от новых условий. Такой метод помогает достигать максимальных результатов в лечении.
Заключение
Результаты исследования указывают на то, что использование препаратов на основе полинуклеотидов и коллагена оказывается как эффективным, так и безопасным для лечения заболеваний верхнего плечевого пояса. Разработанные курсы терапии позволяют сформировать персонализированную программу восстановления. В ходе исследования большинство пациентов отметили улучшение функции плечевого сустава, увеличение подвижности в области плеча и шейного отдела позвоночника, снижение болевых ощущений, быстрое восстановление и улучшение качества жизни. Более того, результаты лечения сохранялись стабильными спустя 6 месяцев после завершения терапии. Пациенты не сообщали о болях или дискомфорте, и не было зарегистрировано ограничений в движениях шейного отдела позвоночника и в плечевых суставах, что свидетельствует о положительных результатах. Будущие клинические исследования могут углубить наше понимание механизмов действия препаратов на основе коллагена и полинуклеотидов, а также исследовать их потенциальные возможности в терапии других заболеваний позвоночника и суставов.
Список литературы:
- Каратеев А.Е., Лила А.М., Загородний Н.В. и др. Совет экспертов: хроническая боль в области плечевого сустава как мультидисциплинарная проблема. Современная ревматология. 2023;17(3):111–120. DOI: 10.14412/1996-7012-2023-3-111-120
- Нестеренко В.А. Поражение околосуставных мягких тканей плеча: патогенез, клиническая картина, современные подходы к терапии. Научно-практическая ревматология. 2018;56(5):622–634. DOI: 10.14412/1995-4484-2018-622-634.
- Шамсутдинова Н.Г., Кирилова Э.Р. Адгезивный капсулит плеча. Практическая медицина. 2013;11-2(69):138–140.
- Щербаков Г.И. Боль в плече, только ли остеохондроз с точки зрения врача-ревматолога? (междисциплинарная проблема). Евразийский союз ученых (ЕСУ). 2019;10(67):56–60.
- Хитров Н.А. Боль в плече и периартрит плечевого сустава: диагностика и лечение. Поликлиника. 2015;1:40-46.
- Долгова Л.Н., Красивина И.Г. Боль в плече и шеи: междисциплинарные аспекты лечения. Медицинский совет. 2017; 17: 50–57.
- Шостак Н. А.., Правдюк Н. Г., Тимофеев в. т. и др. Патология плечевого сустава и мягких тканей - клинические варианты, современные возможности патогенетической терапии. Клиницист 2021;15(1–4)–к652.DOI: 10.17650/1818‑8338‑2021‑15‑1‑4‑к652.
- Меньшова Д.В., Куклин И.А., Пономаренко Н.С. Лечение пациентов с повреждениями вращательной манжеты плеча (обзор литературы). Травматология. 2020/5;6:216-222
- Липина М.М., Лычагин А.В., Архипов С.В. и др. Адаптация основных опросников, применяемых для оценки состояния и функции плечевого сустава при боли в суставе различной этиологии. Кафедра травматологии и ортопедии. 2018;4(34):44–50.DOI: 10.17238/issn2226-2016.2018.4.44-50.
- Амирджанова В.Н., Горячев Д.В., Коршунов Н.И. и др. Популяционные показатели качества жизни по опроснику SF-36 (результаты многоцентрового исследования качества жизни «МИРАЖ»). Научно-практическая ревматология. 2008;1:36˗48.
- Щербаков Г.И., Ковтун С.Н., Поткина Т.Н. Результаты лечения хронической боли в области плечевого пояса с применением препаратов на основе полинуклеотидов и коллагена. РМЖ. Медицинское обозрение. 2024;8(2):102–109. DOI: 10.32364/2587-6821-2024-8-2-8.
- Свинцицкая И.С., Волков К.Ю. Умное сложение — это умножение: обзор сочетанного применения препаратов гиалуроновой кислоты и полинуклеотидов для внутрисуставного введения при остеоартрите. РМЖ. Медицинское обозрение. 2022;6(4):182–186. DOI: 10.32364/2587-6821-2022-6-4-182-186.
- Бирюков С.Ю., Виноградова Н.А., Колесников Я.Г., Левашева Л.А., Марковская О.В., Мороз Д.И., Пастель В.Б., Чанцев А.В., Широков В.А., Щербаков Г. И. О применении препаратов тропоколлагена I типа для локальной инъекционной терапии патологии позвоночника, верхних и нижних конечностей. Терапевтический архив. 2023;95(12):1191–1198.